CASE REPORT | VOLUME 3, ISSUE 4 | OPEN ACCESS DOI: 10.23937/2469-5726/1510057

Rheumatoid Pulmonary Nodules and Significantly Elevated Urinary Cadmium in a Kaolin (China Clay) Worker: Could Cadmium Adsorption onto Occupationally Inhaled Dust Explain Caplan's Syndrome?

Dan Murphy1,2* , Robert Marshall2, Chris Harrington3, Andrew Taylor3 and David Hutchinson1,2

1Department of Rheumatology, Royal Cornwall Hospital Trust, Truro, UK

2University of Exeter Medical School, Cornwall Campus, Knowledge Spa, Royal Cornwall Hospital, Truro, UK

3SAS Trace Elements Laboratory, Surrey Research Park, UK

*Corresponding author: Dan Murphy BmBs, Department of Rheumatology, Royal Cornwall Hospital Trust, Truro, Cornwall TR1 3LQ, UK, Tel: 01872-250000.

Accepted: November 08, 2017 | Published: November 10, 2017

Citation: Murphy D, Marshall R, Harrington C, Taylor A, Hutchinson D (2017) Rheumatoid Pulmonary Nodules and Significantly Elevated Urinary Cadmium in a Kaolin (China Clay) Worker: Could Cadmium Adsorption onto Occupationally Inhaled Dust Explain Caplan's Syndrome?. J Rheum Dis Treat 3:057.doi.org/10.23937/2469-5726/1510057.

Copyright: © 2017 Murphy D, et al. This is an open-access article distributed under the terms of the Creative Commons Attribution License, which permits unrestricted use, distribution, and reproduction in any medium, provided the original author and source are credited.

Abstract


Introduction

Over 60 years ago Caplan's syndrome was described in the coal miners of South Wales (UK). Higher rates are seen in mining populations globally, particularly in kaolin workers. We describe Caplan's syndrome in a kaolin worker associated with a raised urinary cadmium level.

Case report

A 65-year-old Cornish kaolin worker with life limiting nodular erosive Rheumatoid Arthritis (RA) developed extra-articular manifestations including pulmonary nodules suggestive of Caplan's syndrome. Urinary cadmium was raised at 0.66 μmol/mol creatinine (UK male median 0.16 μmol/mol creatinine), 20 years post-industrial exposure cessation.

Results

Caplan's syndrome prevalence in kaolin workers is the highest of any occupation ever reported. Extremely elevated cadmium levels of 11.2-15.9 mg/kg have been observed in kaolin, fifty-fold higher than those reported in coal. Coal contains variable amounts of clays and minerals such as kaolinite, which determine cadmium content.

We suggest that the kaolinite mineral capacity for adsorption of heavy metals, in particular cadmium, explains the scale and pattern of Caplan's syndrome prevalence seen in global mining populations, and further explains the pronounced interaction seen in sequential dust exposure and cadmium laden cigarette smoke.

Keywords


Adsorption, Cadmium, Caplan's syndrome, Inhalation, Kaolin, Occupational exposure, Rheumatoid Arthritis (RA).

Introduction


Caplan's syndrome, first described in 1953 amongst Welsh coal miners, classically occurs in individuals with both Rheumatoid Arthritis (RA) and coal dust exposure [1]. It is characterised by development of pulmonary nodules 0.5-5 cm throughout the lung field, distinct from silicosis [1,2]. This is of contemporary interest as lung inflammation is now considered to be an important site of RA initiation.

Regional differences in the prevalence of Caplan's syndrome have been reported in pneumoconiosis patients, from 0.4-1.5% [2]. This raises an intriguing question; what is the specific component of coal dust responsible for the development of rheumatoid pulmonary nodules and the development of RA?

We hypothesise that kaolinite mineral adsorption predisposes to increased pulmonary cadmium levels as a result of both a direct cadmium load and enhanced pulmonary cadmium adsorption from cigarette smoke.

We describe a kaolin worker with Caplan's syndrome and elevated urinary cadmium levels and discuss the relevant literature to support the hypothesis that cadmium can trigger rheumatoid pulmonary nodule formation and RA development.

Case Report


A 65-year-old male from Cornwall, UK, developed nodular RA aged 32. Rose-Waaler testing at diagnosis was 1/2048 and a forefoot arthroplasty was undertaken within a year. He had worked for 16 years in kaolin drying refineries in Cornwall, UK, with consequent dust inhalation. He accumulated 20 pack years of cigarette smoking to age 30 years.

Treatment with prednisolone was commenced. Disease progression required multiple surgical interventions. Further disease modifying treatments included: Penicillamine 1983-1985; myocrisin 1985-1992; sulphasalazine 1992-1996; and methotrexate from 1996 onwards. Aged 44, he ceased working in the Kaolin refinery as employers refused to grant adequate sickness leave.

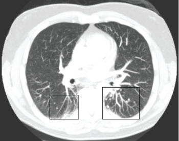
Aged 55 he presented with a Pulmonary Embolus (PE), confirmed on CT Pulmonary Angiography (CTPA). Further CTPA imaging excluded recurrent PE as a cause of escalating shortness of breath symptoms. Radiology review of sequential CT chest imaging (2006-2008) demonstrated multiple pulmonary nodules consistent with Caplan's syndrome (Figure 1). Subsequent development of rheumatoid vasculitis has been treated effectively with rituximab.

Figure 1: Horizontal CT single slice. Black frames highlight multiple well circumscribed > 0.5 cm Caplan's nodules throughout lower lobes bilaterally, more marked on left than right. View Figure 1

Contemporary serology levels demonstrated a rheumatoid factor of 481.7 iu/ml (0-10 normal range) and an anti-cyclic citrullinated peptide of > 500 u/ml (0 - 17 normal range).

Given our interest in the role of occupation in RA development with reference to cadmium inhalation, a urinary cadmium level was undertaken, (0.66 μmol/mol creatinine, UK median 0.17, 95th centile 0.57) [3]. We suggest occupational kaolin dust inhalation has resulted in the significantly raised urinary cadmium level reported here.

Discussion


A diagnosis of Caplan's syndrome is evident by a diagnosis of RA, occupational dust exposure and radiological evidence of multiple pulmonary nodules. Kaolin workers are at high risk of Caplan's syndrome [4]. Kaolinosis is a complication of kaolin exposure, distinct from silicosis. Caplan's syndrome prevalence in kaolinosis is over seven times higher than originally reported in pneumoconiosis claimants (3% vs. 0.4%) [2,4].

Inhalation of fine kaolin dust can occur, particularly in drying phases of production. An experienced Cornish pathologist described being able to remove kaolin from the lungs of workers at post mortem "with a tablespoon" (Figure 2). Kaolin related employment in Cornwall declined to 900 people in 2014. However, 52/700 (7.4%) RA males under follow up at the Royal Cornwall Hospital have worked for > 1 year in the kaolin industry, 12 times more than expected based on current occupational data. Likewise, in Staffordshire (UK) underground coal miners have been demonstrated to have a significantly increased risk of RA development (odds ratio 8.47, 95% CI 2.59-27.66) [5].

Figure 2: Post mortem lung tissue sample from a kaolin worker showing macroscopic kaolin sis. View Figure 2

Kaolin and coal dusts share a predisposition for a common contaminant: Elemental cadmium. Cadmium content of coal varies, with a strong association noted between the kaolinite mineralisation of coal and cadmium content [6]. Far higher cadmium levels have been observed in West African kaolin (11.2-15.9 mg/kg), suggestive of local contamination by adsorption [7]. Mineral kaolinite is formed by geological feldspar decomposition, comprising a (Si2O5)2+ tetrahedral layer and an (Al2[OH]4)2+ octahedral layer bonded together by shared oxygen atoms between adjacent silicon and aluminium atoms [8]. Substitution of Si4+ by Al3+ gives rise to "permanent" active sites for adsorption in surface tetrahedral sheets, with "variable" pH-dependent adsorption occurring on alumina faces and crystal edges via direct covalent bonding [8]. This renders kaolin as extremely effective at adsorbing heavy metals in environmental contamination [8].

Within coal, occurrence of trace elements such as cadmium is importantly dependent on the principal mineral species, in addition to coal age and individual elemental characteristics. We suggest kaolinite as an adsorption substrate in coal as a reason for Caplan's syndrome. Given that the original source for cadmium in coal is adsorption onto fine particle clay matter at formation [9]. We suggest that interaction between the adsorption characteristics of principal mineral species and trace element contamination explains the variance of Caplan's syndrome found in global mining populations. Bituminous coals may display higher affinity for formation of organo-metal complexes and organic acid salts, thereby potentially containing higher cadmium levels at extraction or point of inhalation. However, we suggest that mineral capacity for further adsorption to inhaled dust causes the hitherto unexplained risk interaction seen in dust and cigarette smoke co-exposure [10]. This phenomenon explains the pronounced interaction of silica dust and current smoking > 20 pack years co-exposure amongst exposed workers (OR 14.9, 95% CI 5.32-37.84) [11]. The phenomenon of an inhaled substrate predisposing to cadmium adsorption is observed in bitumen asphalters: Smokers demonstrated a six-fold increase in serum cadmium compared to either non-smoking colleagues or control smokers [12]. Further evidence is seen in an animal model. Rat lung instilled with cadmium-containing silica nanopaticles demonstrated greater expression of pro-inflammatory cytokines and granuloma formation than lung exposed to cadmium alone or silica nanoparticles alone [13]. All exposures demonstrated parenchymal inflammation, granuloma formation, cytokine expression and stromal fibrogenic reactions.

Cadmium contamination of coal is a long-term health concern. Toxic blood cadmium levels have been demonstrated in 85% of children living in a Turkish coal mining area [14] (mean serum cadmium 13.1 μg/L). Recent South Korean literature reports RA prevalence odds ratio increasing by 1.62 per 1 μg/L increase in serum cadmium [15].

We postulate that kaolin dust in this ex-smoker's lungs adsorbed cadmium from cigarette smoke, increasing intrapulmonary cadmium concentration, stimulating inflammation and disease development.

This case highlights the importance of occupational dust exposure in RA, and further studies are underway to determine if kaolin workers have high levels of bodily cadmium and an increased RA risk. We highlight the process of adsorption as an overlooked factor, explaining the interaction of silica and non-silica based dust and cigarette smoking seen in RA.

Acknowledgements


We would like to thank Cornwall Arthritis Trust for their financial support of this work.

Funding


Ongoing funding for research into occupational exposures in rheumatoid arthritis in Cornwall is provided by Cornwall Arthritis Trust, a registered charity. No specific funding for this case report was provided.

Competing Interests


None.

References


  1. Caplan A (1953) Certain unusual radiological appearances in the chest of coal-miners suffering from rheumatoid arthritis. Thorax 8: 29-37.

  2. De Capitani EM, Schweller M, Silva CM, Metze K, Cerqueira EM, et al. (2009) Rheumatoid pneumoconiosis (Caplan's syndrome) with a classical presentation. J Bras Pneumol 35: 942-946.

  3. Morton J, Tan E, Leese E, Cocker J (2014) Determination of 61 elements in urine samples collected from a non-occupationally exposed UK adult population. Toxicol Lett 231: 179-193.

  4. Wells IP, Bhatt RC, Flanagan M (1985) Kaolinosis: A radiological review. Clin Radiol 36: 579-582.

  5. Turner S, Cherry N (2000) Rheumatoid arthritis in workers exposed to silica in the pottery industry. Occup Environ Med 57: 443-447.

  6. Song D, Wang M, Zhang J, Zheng C (2008) Contents and occurrence of cadmium in the coals from Guizhou province, China. Ann N Y Acad Sci 1140: 274-281.

  7. Bonglaisin JN, Mbofung CMF, Lantum DN (2011) Intake of Lead, Cadmium and Mercury in Kaolin-eating: A Quality Assessment. J Med Sci 11: 267-273.

  8. Matlok M, Petrus R, Warchol JK (2015) Equilibrium study of heavy metals adsorption on Kaolin. Ind Eng Chem Res 54: 6975-6984.

  9. Raask E (1985) The mode of occurrence and concentration of trace elements in coal. Prog Energy Combust Sci 11: 97-118.

  10. Blanc PD, Järvholm B, Torén K (2015) Prospective Risk of Rheumatologic Disease associated with Occupational Exposure in a Cohort of Male Construction Workers. Am J Med 128: 1094-1101.

  11. Stolt P, Yahya A, Bengtsson C, Källberg H, Rönnelid J, et al. (2010) Silica exposure among male current smokers is associated with a high risk of developing ACPA-positive rheumatoid arthritis. Ann Rheum Dis 69: 1072-1076.

  12. Atasoy N, Kanat Y (2011) Determination of the amount of certain heavy metal ions and some specific liver enzymes and levels of testosterone hormone in the blood sera of heavy asphalt workers and rural community in Van, Turkey. Res J Med Sci 5: 73-79.

  13. Coccini T, Barni S, Vaccarone R, Mustarelli P, Manzo L, et al. (2013) Pulmonary toxicity of instilled cadmium-doped silica nanoparticles during acute and subacute stages in rats. Histol Histopathol 28: 195-209.

  14. Yapici G, Can G, Kiziler AR, Aydemir B, Timur IH, et al. (2006) Lead and cadmium exposure in children living around a coal-mining area in Yatagan, Turkey. Toxicol Ind Health 22: 357-362.

  15. Joo SH, Go DJ, Ahn EY, Kwon HM, Lee J, et al. (2016) Higher Serum Heavy Metals Concentrations Are Associated with Rheumatoid Arthritis: A Study of the Korean National Health and Nutrition Examination Survey (KNHANES). Arthritis Rheumatol 68.