Citation

Bilgin E, Duman BB (2021) Extraordinary Pattern with Brain Metastasis of Ovarian Cancer with Five Cases: Survival Impact of Cranial Metastesectomy. Do or Not To Do?. Int J Surg Res Pract 8:124. doi.org/10.23937/2378-3397/1410124

Research Article | OPEN ACCESS DOI: 10.23937/2378-3397/1410124

Extraordinary Pattern with Brain Metastasis of Ovarian Cancer with Five Cases: Survival Impact of Cranial Metastesectomy. Do or Not To Do?

Emre Bilgin, MD1* and Berna Bozkurt Duman2

1Department of Neurosurgery, Adana City Training and Research Hospital, Turkey

2Department of Medical Oncology, Adana City Training and Research Hospital, Turkey

Abstract

Ovarian malignancies primarily disseminate through the peritoneal cavity and are only superficially invasive. They rarely metastasise through the haematogenous route, but that occurs in the presence of heavy peritoneal disease. Colon and brain metastasis are rare entity and both of them in one patient is in our first case with slightly elevated Ca125 level. Four cases had single and the other had multiple cranial metastasis with no evidence of the disease in the other part of the body.

Keywords

Ovarian carcinoma, Brain metastasis, Craniotomy, Metastesectomy

Introduction

The brain metastasis incidence is less than 2% in ovarian carcinoma. Ovarian cancer is a rare cause of colon and brain metastasis. Especially colonic metastasis becomes peritoneal seeding. Intraluminal metastasis is very rare entity [1]. Although brain metastasis development is very rare in ovarian cancer, it should be considered in the patient group with poor prognostic features, especially at the time of high-grade diagnosis. It is a form of metastasis [1,2].

In our study, we included patients with brain metastases among the patients who applied to our clinic in a certain time interval of about 3 years. The disease incidence is not very low but the incidence of brain metastasis is low. Generally not including patients with brain metastases in drug indication studies. We created this series in order to contribute to the management of these patients based on literature.

Materials and Methods

We examined retrospectively the charts of patients with a diagnosis of ovarian cancer who had been treated between 2015-2018 at the Adana City Education and Research Hospital. All patients with a histologically confirmed diagnosis of ovarian carcinoma were included and other gynecologic cancers were excluded. Clinical records were reviewed and information on clinical and pathological data as well as treatment details were gathered. Literature review was conducted in PubMed. Studies in adult patients have been written in English and have been published in peer-reviewed journals as ovarian cancer and brain metastasis.

Results

In our study, we analyzed retrospectively 92 patients who were followed up in Adana City Education and Research hospital with the diagnosis of ovarian cancer between 2015-2018. The median age of the patients was 59 (min: 25-max: 88). We detected cranial metastases in a total of 5 patients. The incidence of brain metastasis was 5.4%. The median age in patients with cranial metastases was 60 (min: 55-max: 66). Cranial metastesectomy was performed in four patients and cranial control was performed with antiedema and radiotherapy due to the presence of multiple widespread metastases in the other patient. The interval between the time of diagnosis to first cranial metastasis is median 40.2 months (min: 12-max: 115 months) (Table 1).

Patient characteristics

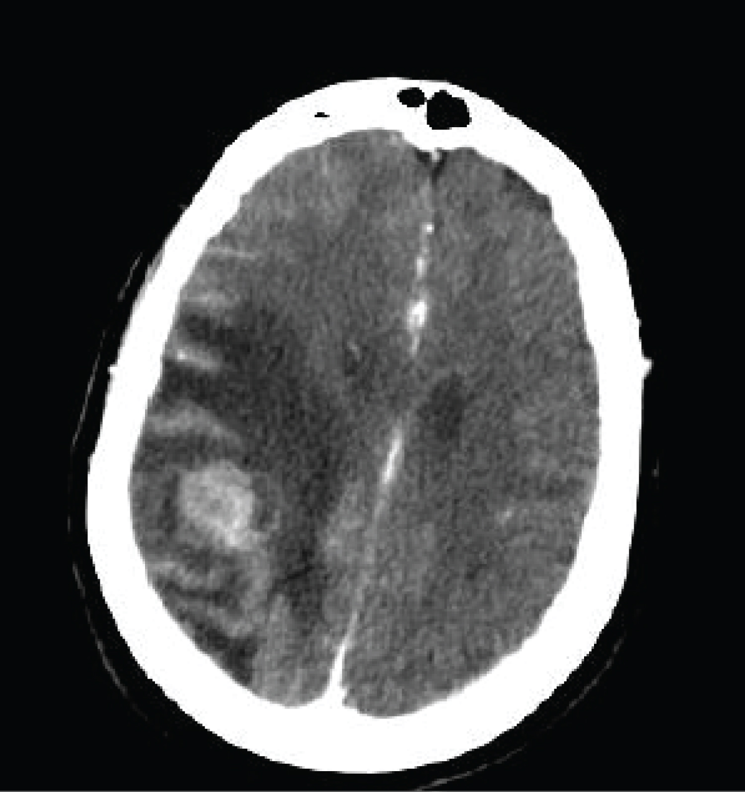
First patient: 66-years-old woman admitted to Adana City Education and Research Hospital or follow up after primary ovarian malignancy. She had the history of 3 years of primary ovarian malignancy (Stage III serous carcinoma) when admitted to our hospital. The patient was disease free for six years in routine follow up prosedure. After 9 years from diagnosis the patient was analyzed for abdominal discomfort. Abdominal tomography was revealed wall thickness on right ascending and transverse colon colonoscopy was performed. There was mass which wrap the whole wall of distal of ascending colon. Colonoscopic biopsy was reported ovarian serous carcinoma metastasis to the colon. Neoplastic infiltration was reported from submucosa to the muscularis propria. Immunohistochemistry was revealed as not primary colon carcinoma it was reported as metastasis from primary ovarian carcinoma. PET/CT staging showed infraclavicular, mediastinal, paratrakeal, precarinal, left hilar parasternal multiple lymph nodes, right transverse colon wall thickness, retroperitoneal, paraaortic multiple lymph nodes. Ca 125 level was 36 IU/ml. The biopsy was performed from one of the peripheral lymph nodes. The pathology was reported as the metastasis of ovarian carcinoma. Platine sensitive recurrence was treated with taxane/platinum combination. Complete response was detected on PET scan. The patient was followed by routine follow up. Cranial CT and MRI was performed after 7.5 months from the last therapy due to headache. One cranial mass on right deep pariatel lobe was detected (Figure 1). On PET-CT scan; there was only right paratracheal suspicious reactive? milimetric lymph node. No other extracranial metastases were observed at the PET scan. Ca125 level was 15.3 IU/ml. Cranial metastesectomy was performed. Pathology was reported as cranial serous ovarian carcinoma metastasis. In immunohistochemistry CK7(+), WT1(+), CD56(+), P16(+) ER(+), Vimentin(-) CEA(-) P53(-). A post-surgery Stereotactic radiosurgery (SRS) to the surgical cavity has been performed followed by a systemic chemotherapy by carboplatin + taxane for six cycles. Platine + taxane treatment was administered to the patient due to platine sensitive recurrence. Bevacizumab should not be given with this combination without permission due to social security reasons in Turkey Government. Carboplatine and paclitaxel combination with or without bevacizumab is acceptable combination in platine sensitive recurrence due to National Comprehensive Cancer Network (NCCN) Guidelines. After three cycles of therapy there was no evidence of disease on both PET and MRI. After 6 months after treatment the patient died due to cardiac reason. Patient had approximately 11 year history of ovarian cancer. After 9 years firstly lymph nodes and colonic metastasis and then brain metastasis treated successfully.

Figure 1: Right parietal mass in CT. View Figure 1

Second patient: 55-years-old woman admitted to the hospital with shortening of breath. Stage IV disease was detected on PET-CT scan. Ca125 level is very high in the time of diagnosis. Pathology was confirmed serous carcinoma of the ovary. After 3 cycles of taxane + platine treatment. Near complete response was performed. Full course therapy after surgery was completed. After 2 years of the beginning conventional tomography was normal. Cranial MRI was performed due to symptoms with dizziness and headache. Multiple metastasis was detected in MRI (Figure 2) with ca125 level was 40 IU/ml. PET-CT was normal. Patient was discussed in neurooncology council. The patient was not suitable for metastesectomy due to multiple localization. WBRT was performed with antiedema treatment. Taxane + Platine combination was given to the patient. Patient is alive under this treatment. Bevacizumab should not be given with this combination without permission due to social security reasons in Turkey Government. Carboplatine and paclitaxel combination with or without bevacizumab is acceptable combination in platine sensitive recurrence due to National Comprehensive Cancer Network (NCCN) Guidelines.

Figure 2: Multiple brain metastasis in CT (Metastasis after 11 months). View Figure 2

Third patient: 61-years-old woman with Stage 3B ovarian carcinoma treated with taxane + carboplatin combination after surgery. After one year of the end of the treatment cranial MRI was performed. There was no evidence of disease on the other side of body. Ca125 level was 40 IU/ml. Cranial metastesectomy was performed. Stereotactic radiosurgery (SRS) to the surgical cavity has been performed. The pathology was serous ovarian carcinoma. After metastesectomy platine + taxane treatment was given to the patient due to platine sensitive nux. Patient is alive in this treatment.

Fourth patient: 57-years-old woman who operated ovarian mass 1.5 years before admitting to our hospital with dizziness. Cranial BT was performed. Only one cranial mass was detected (Figure 3) with no sign of disease in the other parts of body. Metastectomy was performed. Stereotactic radiosurgery (SRS) to the surgical cavity has been performed. Ca125 level was normal. The pathology report was revealed occipitale mass 2.5 × 2.5 cm in diameter carcinosarcoma metastasis of over. Past history of patient; ovarian malignant mixed müllerian tumor, operated and treated with systemic chemotherapy in other Oncology clinic 1.5 years before cranial radiation therapy was given to the patient. Platine based systemic chemotherapy with taxane was planned.

Figure 3: Left occipital mass in CT. View Figure 3

Last patient: 62-years-old woman who operated with ovarian mass. In the time of diagnosis Ca125 level is 576 IU/ml. Patient was operated. Stage 3A 2 serous cystadenocarcinoma was detected in surgical pathology. Platin and taxane combination was administered to the patient. After 32 months disease free interval cranial MRI was performed due to headache. Cranial metastasis was found with no evidence of disease at the other parts of body with normal Ca125 level. Cranial metastesectomy was performed. Stereotactic radiosurgery (SRS) to the surgical cavity has been performed. Postoperative pathology was primary ovarian cancer metastasis due to immunohistochemical results. Patient was treated with platine + taxane combination due to platin sensitive recurrence.

Discussion

Different patterns of hematologic recurrence and metastasis can be seen in ovarian carcinoma. The more prolonged survival after using multimodality treatment for brain metastasis is important due to potential impact on management of brain metastasis in future [2-4]. In one systematic review: A total of 66 publications were found, 57 of which were used representing 591 patients with brain metastasis from ovarian cancer. The location of the lesion was cerebellar (30%), frontal (20%), parietal (18%) and occipital (11%). Extracranial metastasis was present in 49.8% of cases involving liver (20.7%), lung (20.4%), lymph nodes (12.6%), bones (6.6%) and pelvic organs (4.3%). The most common symptoms were weakness (16%), seizures (11%), altered mentality (11%) visual disturbances (9%) and dizziness (8%). The interval from diagnosis of ovarian cancer to brain metastasis ranged from 0 to 133 months (median 24 months) and median survival was 8.2 months. Keskin, et al. reported 22 patients with brain metastasis; 6 patients underwent microscopic gross total resection. Of these patients, 3 patients (14%) were treated with resection alone, 2 patients (9%) with resection and WBRT followed by chemotherapy and 1 patient (5%) with resection followed by chemotherapy. In their series 4 patients had single metastasis [5]. Most of the series have reported that patients have extracranial metastasis when cranial metastasis was detected [3,5,6]. Pectasides, et al. have reported the rate of single metastasis in the rate of 25-50% [7].

In our first patient metastasis only one region on parietal lobe, the interval from diagnosis to colon metastasis 9.5 years and brain metastasis 10.5 years approximately. There are several learning points in our cases. Two different pattern of recurrence without peritoneal seeding of tumor after several years from first diagnosis in first case. Another point of view: Ca125 should be potential biomarker but not enough every time for showing the recurrence. There are several patients with multiple primary but we must separate these two entity secondary primary tumor or metastasis of primary tumor this is the art of patient management. We think new treatment strategies prolong survival but not pass the blood brain barrier. May be the brain MRI should be one of the examination test for routine follow-up.

The reported incidence for brain metastasis from ovarian cancer ranges widely from less than 1-12% (Table 1). Our incidence rate is 5.4%. The average figure of 2.55% found in our literature review is consistent with the most recent post mortem review with the incidence of 2.1% (7 out of 340 cases). However, since most reports are from clinical studies and very few postmortem studies have been performed, it is possible that the actual incidence of brain metastasis from ovarian cancer is higher since brain imaging is not a routine component of follow up for patients with ovarian cancer to detect asymptomatic lesions [3,8-10].

Table 1: Patient age, pathologic subtype and overall survival. View Table 1

Brain metastasis (BM) is poor prognostic factor. A poor median overall survival from the diagnosis of BM has been observed in other series. In our series most of the patients have higher grade serous carcinoma. Their overall survival was poor, The overall survival was changed between 22-122 months and 100% of them died due to the BM. All of the patients were platine sensitive in the time of brain metastasis. Notably, the number and size of BMs and the presence of disease sites of recurrence in ovarian cancer showed that patients with BMs have the worst prognosis [3,5,6].

The incidence of brain metastases from ovarian carcinoma has increased over time (median months: 2.7 min: 0.66-max: 11.54). Possible reasons for increased incidence of CNS metastasis include changes in the biology of EOC due to better control of abdominopelvic disease with chemotherapy resulting in longer survival and the availability of better imaging techniques (CT/MRI scans of brain) for diagnosing CNS metastasis.

Conclusion

Metastesectomy, SRS and chemotherapy are the three modalities of cranial metastatic ovarian carcinoma treatment. Possible reasons for increased incidence of CNS metastasis include changes in the biology of epithelial ovarian carcinoma. Especially symptoms due to cranial metastasis must be asked to all patients. Cranial recurrence should be with normal or slightly elevated Ca125 level. We discussed to cases two of them had only single cranial metastasis with no evidence of disease in the other sides of body and the other case had multiple metastasis without any disease except cranium but unresectable due to multiple metastasis in cranium. Different case series show different results. Single lesions, long interval between diagnosis and recurrence, platine sensitive recurrence should be treated with metastesectomy firstly than SRS and chemotherapy.

Ethical Principles

The study was approved Adana City Training and Research Hospital Researches Ethics Board has been performed according to the ethical standards of the 1964 Declaration of Helsinki.

Conflict of Interest

None.

Financial Disclosure

None.

References

  1. Bhange SA, Bhansali M, Shaikh T, Ajgaonkar U (2019) Colonic metastases 13 years after the primary ovarian cancer: A case study with a brief review of literature. BMJ Case Rep 12.
  2. Liu P, Liu W, Feng Y, Xiao X, Zhong M (2019) Brain metastasis from ovarian clear cell carcinoma: A case report. Medicine 98.
  3. Pakneshan S, Safarpour D, Tavassoli F, Jabbari B (2014) Brain metastasis from ovarian cancer: A systematic review. J Neurooncol 119: 1-6.
  4. Longo R, Platini C, Eid N, Elias Matta C, Buda T, et al. (2014) A late, solitary brain metastasis of epithelial ovarian carcinoma. BMC Cancer 14: 543.
  5. Keskin S, Küçücük S, Ak N, Atalar B, Sarı M, et al. (2019) Survival impact of optimal surgical cytoreduction in recurrent epithelial ovarian cancer with brain metastasis. Oncol Res Treat 42: 101-106.
  6. Takeshita S, Todo Y, Furuta Y, Okamoto K, Minobe S, et al. (2017) Prognostic factors for patients with brain metastasis from gynecological cancer: A significance of treatment-free interval of more than 6 months. Jpn J Clin Oncol 47: 604-610.
  7. Pectasides D, Pectasides M, Economopoulos T (2006) Brain metastases from epithelial ovarian cancer: A review of the literature. Oncologist 11: 252-260.
  8. Stasenko M, Cybulska P, Feit N, Makker V, Konner J, et al. (2009) Brain metastasis in epithelial ovarian cancer by BRCA1/2 mutation status. Gynecol Oncol 154: 144-149.
  9. Wohl A, Kimchi G, Korach J, Perri T, Zach L, et al. (2019) Brain metastases from ovarian carcinoma: An evaluation of prognostic factors and treatment. Neurol India 67: 1431-1436.
  10. da Costa AABA, Dos Santos ES, Cotrim DP, Natasha CP, Marcelle GC, et al. (2019) Prognostic impact of platinum sensitivity in ovarian carcinoma patients with brain metastasis. BMC Cancer 19: 1194.

Citation

Bilgin E, Duman BB (2021) Extraordinary Pattern with Brain Metastasis of Ovarian Cancer with Five Cases: Survival Impact of Cranial Metastesectomy. Do or Not To Do?. Int J Surg Res Pract 8:124. doi.org/10.23937/2378-3397/1410124