Table of Contents

Citation

Anusim N (2019) Hemophagocytic Lymphohistiocytosis. Clin Med Img Lib 5:134. doi.org/10.23937/2474-3682/1510134

IMAGE ARTICLE | OPEN ACCESS DOI: 10.23937/2474-3682/1510134

Hemophagocytic Lymphohistiocytosis

Nwabundo Anusim*

Department of Cardiology, Middlemore Hospital, Auckland, New Zealand

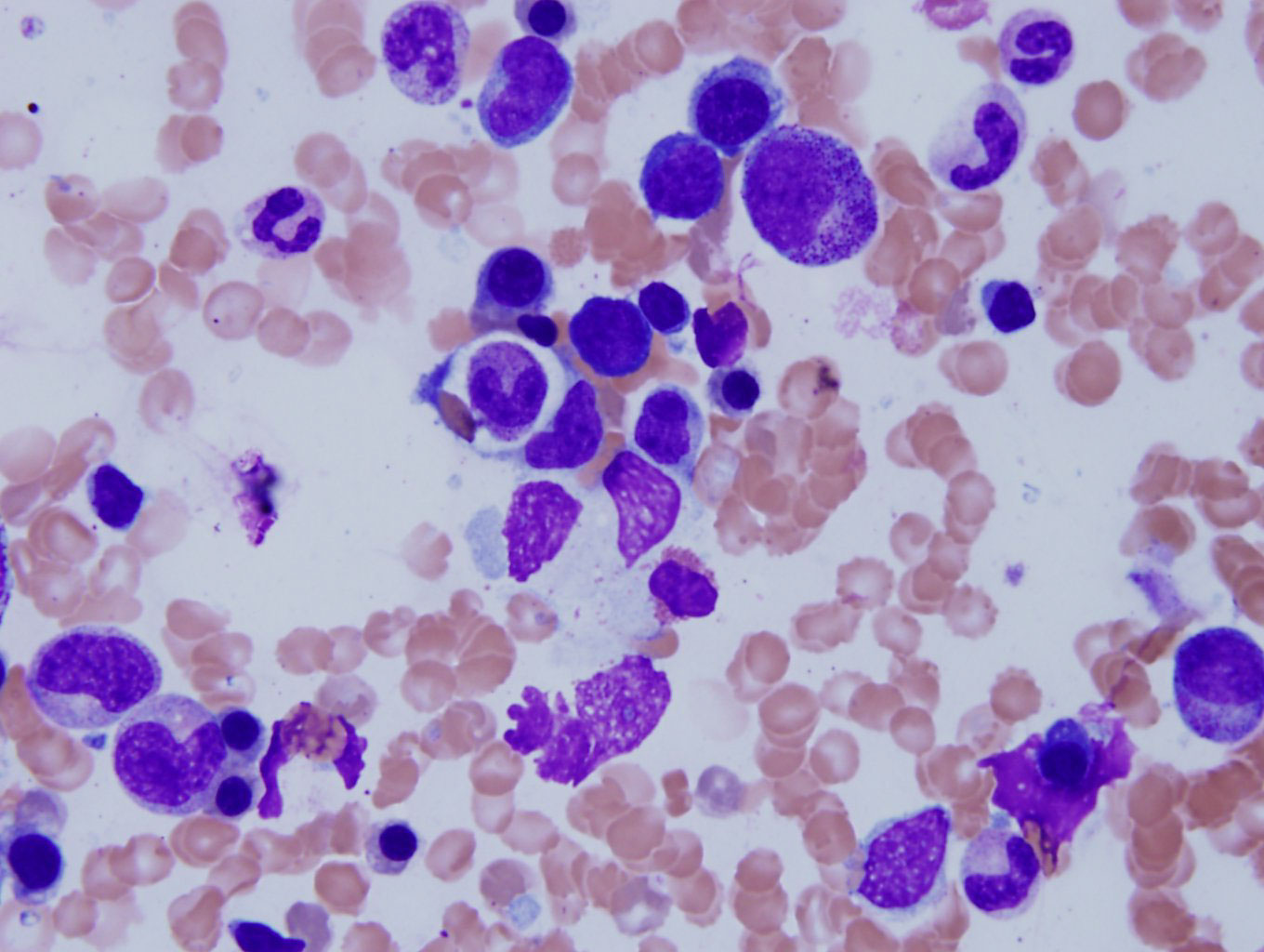
A 66-year-old male with a history of sarcoidosis, chronic kidney disease, hodgkin's and non-hodgkin's lymphoma presents with shortness of breath and lethargy after failing outpatient treatment of an upper respiratory tract infection. White count on admission was 2.6 (3.5 -10bil/l), with normal absolute neutrophil count (ANC) and hemoglobin was 9.9 (13.5-17 g/dl). During the course of his admission, he was found to have a fever of 101.5 and progressive pancytopenia {ANC 0.9 (1.6-7.2 bil/L), platelets of 58 (150-400 bil/L)}, with lactate dehydrogenase of 1101 U/L, haptoglobin of < 8, negative direct antiglobulin test, elevated vitamin B12 of 1012 pg/ml , normal folate level, ferritin 12011.9 ng/mL and triglycerides (671 mg/dL). A bone marrow biopsy showed epithelioid granulomas, consistent with the diagnosis of sarcoidosis, increased histiocytes/macrophages with numerous forms showing ingestion of red blood cells, neutrophils and platelets. He was diagnosed with hemophagocytic histio lymphocytosis probably triggered by the lymphoma (Figure 1).

Figures


Figure 1: Hemophagocytosis.

Citation

Anusim N (2019) Hemophagocytic Lymphohistiocytosis. Clin Med Img Lib 5:134. doi.org/10.23937/2474-3682/1510134