Citation

Arslan S, Erdogan H, Durmaz MS, Arslan FZ, Oncu F, et al. (2018) Bilateral Isolated Lateral Semicircular Canals Aplasia: MRI Findings. Clin Med Img Lib 4:116. doi.org/10.23937/2474-3682/1510116

IMAGE ARTICLE | OPEN ACCESS DOI: 10.23937/2474-3682/1510116

Bilateral Isolated Lateral Semicircular Canals Aplasia: MRI Findings

Serdar Arslan*, Hasan Erdogan, Mehmet Sedat Durmaz, Fatma Zeynep Arslan, Fatih Oncu and Ismet Tolu

Department of Radiology, University of Health Sciences, Konya Education and Research Hospital, Turkey

Keywords

Lateral semicircular canals, Aplasia, Ear, MRI

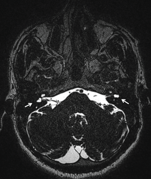
A 38-year-old man was admitted to our department due to recurrent sensations of imbalance and vertigo for two years. Moderate bilateral sensorineural hearing loss was detected. Magnetic resonance imaging demonstrated bilateral isolated aplasia of the lateral semicircular canals (Figure 1). Bilateral superior and posterior semicircular canals were normal. No cochlear malformation and no pathological contrast enhancement were detected. The internal auditory canal and the cerebellopontine angle were normal.

Lateral semicircular canal aplasia is a malformation of the inner ear, generally associated with vestibular and cochlear malformations [1]. However, isolated anomalies of the vestibular part of the inner ear are described very rarely [2]. Although the morphological abnormalities appeared to be isolated on imaging, patients can be present with functional signs of global cochlear, semicircular canal and otolithic lesions [3]. Functional investigations should be performed in the presence of isolated semicircular canal aplasia, even when it is an incidental finding, to exclude more extensive labyrinthine lesions.

Source(s) of Support

None.

Conflicting Interest

None.

Figures


Figure 1: Axial CISS image shows bilateral isolated aplasia of the lateral semicircular canals (white arrows).

References

  1. J Johnson, AK Lalwani (2000) Sensorineural and conductive hearing loss associated with lateral semicircular canal malformation. Laryngoscope 110: 1673-1679.
  2. G Michel, F Espitalier, AS Delemazure, P Bordure (2016) Isolated lateral semicircular canal aplasia: Functional consequences. Eur Ann Otorhinolaryngol Head Neck Dis 133: 199-201.
  3. I Dallan, S Berrettini, E Neri, AP Casani (2008) Bilateral, isolated, lateral semicircular canal malformation without hearing loss. J Laryngol Otol 122: 858-860.

Citation

Arslan S, Erdogan H, Durmaz MS, Arslan FZ, Oncu F, et al. (2018) Bilateral Isolated Lateral Semicircular Canals Aplasia: MRI Findings. Clin Med Img Lib 4:116. doi.org/10.23937/2474-3682/1510116