Citation

Hong Y, Chun-ke L, Hai-qi L (2022) Complete Androgen Insensitivity Syndrome: A Rare Case with 47, XXY/46, XY Mosaic Karyotype and Literature Review. Obstet Gynecol Cases Rev 9:227. doi.org/10.23937/2377-9004/1410227

Case Report | OPEN ACCESS DOI: 10.23937/2377-9004/1410227

Complete Androgen Insensitivity Syndrome: A Rare Case with 47, XXY/46, XY Mosaic Karyotype and Literature Review

Yu Hong*, Chun-ke Li and Hai-qi Liang

Deparment of Obstetrics and Gynecology, Macau Kiangwu Hospital, Macau Special Administrative Region, China

Abstract

Androgen insensitivity syndrome (AIS) is an X-linked recessive genetic disease caused by the absence or defects of androgen receptor (AR). Due to the insensitivity to androgen, clinically, patients often manifest as sexual development disorder. According to the grade of the remaining AR function, AIS is classified as complete (CAIS), partial (PAIS) or mild (MAIS). A 14-year-old Chinese child, raised as female, presents with primary amenorrhea. Physical examination revealed female appearance and a short vagina with blind-ended pouch. Laboratory examination showed high levels of testosterone; uterus and ovaries were absent. Karyotype confirmed a 47, XXY (12)/46, XY (88) mosaicism. She underwent gonadectomy and the postoperative pathology identified bilateral testicular tissue with atrophic seminiferous tubules and no signs of malignancy. She started on hormonal therapy after surgery. The clinical manifestations of CAIS are relatively insidious. Clinicians should master the characteristics of this disease, identify carefully, make a clear diagnosis, and then develop an individualized treatment plan, so as to improve the life quality of patients and reduce the occurrence of tumors as much as possible.

Keywords

Complete androgen insensitivity syndrome, Mosaic karyotype, Sex chromosome abnormality, Androgen receptor, Hormone therapy

Introduction

Androgen insensitivity syndrome (AIS) is an X-linked recessive genetic disorder in which varying androgen resistance originates from mutations in the androgen receptor (AR) gene, located on Xq11-12 [1]. Subsequently, androgen partially or completely loses its biological effects in the target organs, leading to a broad spectrum of clinical presentations. According to the degree of AR deficiency, AIS can be clinically divided into three phenotypes: complete androgen insensitivity syndrome (CAIS), in which the patients present with normal or near-normal female apperance; partial androgen insensitivity syndrome (PAIS), in which the patients exhibit with an ambiguous phenotype; and mild androgen insensitivity syndrome (MAIS), in which the patients have mainly male characteristics [2]. CAIS, as the most frequent manifestation of AIS with a prevalence of 2~5 in 100000 live male births [3,4], is a common type of male pseudohermaphroditism. This paper analyzed the clinical data of a CAIS patient with rare karyotype and reviewed the relevant literature to further deepen the understanding of this disease.

Case History

Born in 2000, this adolescent patient was female of social gender, unmarried and sexually inactive. She was the second child of her family, delivered uneventfully with a birth weight of 3.1 kg and normal female genitalia, without asphyxia and convulsions at birth. Accordingly, she was reared as female. Later, her growth, development, height and weight were all similar to other girls of the same age. She displayed normal intellectual function and normal learning ability, and denied abnormal sense of smell. In 2014, she came to our hospital first time due to no menarche. No relevant medical history or family history were identified. Physical examination revealed height 160 cm, weight 47 kg and female posture, with development of breasts at Tanner 3 (the bud is enlarged beyond the areola, with no separation of the contours of the areola from the breast) and pubic hair growth at Tanner 2 (sparse). The left labia majora was slightly swollen, and a subcutaneous mass of 3 × 2 × 1 cm3 could be palpated, with movement, clear boundary, and slight tenderness. The right labia majora was swollen, but no obvious subcutaneous nodule was palpable. The vaginal opening was not obvious, and the urethral opening was normal.

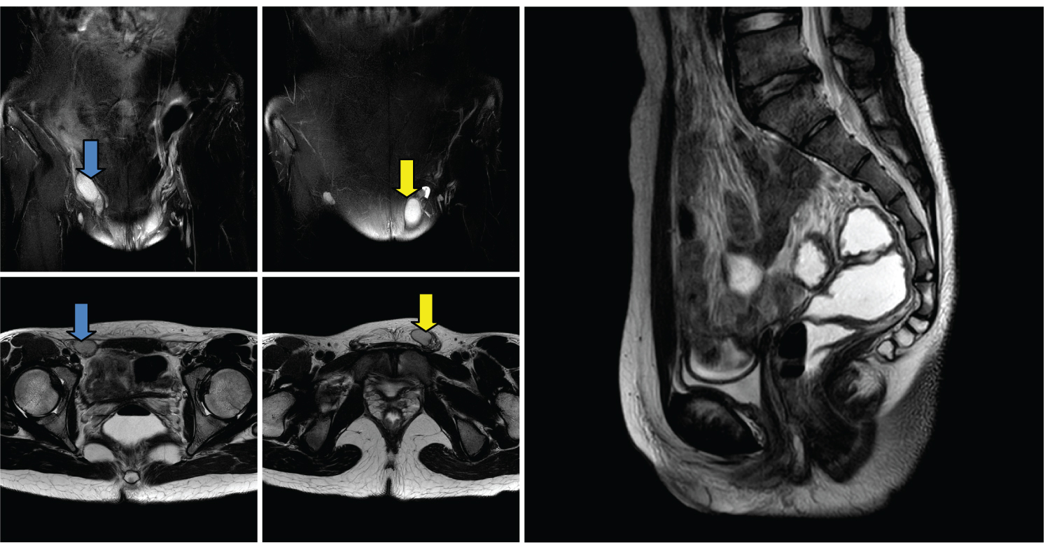
Hormone tests were shown as Table 1. Pelvic MRI (Figure 1) showed absence of prostate, seminal vesicles, uterus or ovary, and there was a testis on each side of the pudendal area. Male pseudohermaphroditism was considered. Karyotype test was done in the other hospital showing 47, XXY (12)/46, XY (88) mosaicism. It was a pity that DNA analysis for AR gene mutations was unavailable.

Figure 1: MRI ABDOMEN PELVIS t2 weighted showing the testicles annotated by blue (right side) and orange (left side) arrow (coronal and axial cuts) and complete absence of prostate, uterus, cervix and internal vagina (sagittal cut). View Figure 1

Table 1: Hormonal test result before and after gonadectomy; Reference value ranges (M: Men, W: Women). View Table 1

On August 6, 2015, bilateral orchiectomy and high ligation of bilateral hernia sac were performed. The postoperative pathology (Figure 2) showed bilateral testicular tissue with atrophic seminiferous tubules containing only Sertoli cells, associated with Leydig cell hyperplasia. No signs of malignancy were found. Oral estradiol replacement (Premarin), Vitamin D and calcium were initiated after operation.

Figure 2: Histopathology of both gonads showing testicular tissue with seminiferous tubules and Leydig cells, without spermatogenic cells or mature spermatozoa. (Hematoxylin-eosin; original magnification, 200x). View Figure 2

Discussion

Male sexual development includes testicular differentiation during embryonic stage, musculinization of external genitalia and testicular descent. This series of procedures are mainly regulated by two androgens, namely testosterone and dihydrotestosterone. The occurrence of AIS is closely related to the mutation of the AR-encoding gene on X chromosome. At present, more than 900 mutation types have been described [5]. Gene mutation leads to the defect of AR function, which impairs or disables the response capability of male internal and external genitalia to androgens [6]. The karyotype, gonad (testis) and androgen secretion of CAIS patients are all normal, but AR function is defective, the biological effect of androgen is lost, and androgen is converted into estrogen by aromatase in peripheral tissue, which combinedly promote the external genitalia develop towards females in embryonic stage. However, the vagina is usually short and blind. Under the action of anti mullerian hormone (AMH) secreted by testis, female internal genitalia such as fallopian tubes, uterus, cervix and proximal vagina are not formed [3].

During prenatal examination, CAIS fetus could be accidentally discovered due to the discordance between male chromosomal sex by methods of noninvasive prenatal testing (NIPT) and female external genitalia on the mid-trimester ultrasound scan [7]. Then, CAIS patients often have no obvious abnormal manifestations in the infant stage before gonadal initiation, and the diagnosis is quite difficult. If the vulvar phenotype is ambiguous, inguinal or labia majora nodules, scrotal emptiness or hypospadias are found, special attention should be paid to the possibility of this disease [8,9]. The following karyotype test will help to early diagnosis and treatment. As they enter puberty, most patients come for primary amenorrhea. Physical examination usually reveals that they have pretty good stature, close to the average height of normal men [10]. Due to the conversion of androgen into estrogen by aromatase in peripheral tissue, patients often own certain female characteristics, showing a female posture. Usually, the breasts are fully developed, accompanied with sparse axillary and pubic hair, a short, shallow and blind-ended vagina, without beards and Adam's apple, absence of uterus and fallopian tubes, and presence of undescended testes in the abdominal pelvic cavity or inguinal canal [11]. Sex hormone assays show elevated LH, testosterone and estradiol at the upper limit of normal range or slightly elevated for males, and normal or slightly elevated FSH [12]. Testicular pathological examination showed a large number of seminiferous tubules without spermatogenic function, while no epididymis and vas deferens. The clinical manifestations, signs, laboratory tests, and surgical results of this patient were consistent with CAIS. In addition, as far as we know, this is the first report of a female-looking patient with 47, XXY/46, XY mosaic karyotype and CAIS phenotype.

At present, the research on AIS has advanced to molecular and gene levels, but its clinical diagnosis still needs to be established on the combination with clinical manifestations, sex hormone determination, gonadal pathological examination and family genetic history. Other disorders of sexual development (DSD), such as Swyer syndrome (46XY pure gonadal dysgenesis), 46, XY 17 α- Hydroxylase deficiency and Mayer-rokitansky-kuster-hauser syndrome (MRKH), should be included in the list of differential diagnosis. Karyotype analysis, AR gene detection, and even experiments on the combination of androgen and AR are helpful for etiological diagnosis. It is reported that 70% of CAIS were caused by genetic factors, which were passed on to offspring through female carriers, and another 30% were gene de novo mutations [13]. Even, some individuals with an AIS phenotype have not currently been found to have AR mutations. It was found that mutations in two other genes, SRD5A2 and 17β-hydroxysteroid dehydrogenase-3 (17βHSD3), can cause a CAIS-like phenotype [12]. The mother of this patient stated no family history of AIS, however, for several years, she had been diagnosed as PCOS, the onset of which was speculated, in a recent research, to be caused by aberrant expression of AR originated from AR gene mutations among Han Chinese patients with PCOS. So it can be basically determined that this case is caused by gene mutation [14]. Due to the obvious genetic tendency of AIS, for patients with definite diagnosis, their family members should also perform relevant gene testing early, to identify family members carrying pathogenic genes. Genetic screening and prenatal diagnosis should be carried out during pregnancy to avoid new patients and carriers as far as possible, so as to achieve the purpose of eugenics.

After the diagnosis of AIS is confirmed, the treatment needs to consider many factors, including genetic counseling, psychosocial gender, endocrine status, the possibility of orthopedic external genitalia and so on. For patients with CAIS, the key to clinical treatment lies in timely orchiectomy and estrogen supplementation. Previous studies have shown that the risk of testicular tumor in such patients increases significantly with age after puberty, and can be as high as more than 30% [2,15]. Therefore, most scholars once recommend early removal of testis as soon as possible to prevent tumorgenesis. However, premature removal of testis is not conducive to adolescent bone growth and female secondary sexual development [16]. While, recent studies have found that AIS patients diagnosed at the molecular level have a nearly 0% chance of developing testicular germ cell tumors. The risk has been exaggerated in the previous diagnosis and treatment process. As the main body of the disease, patients should have the autonomy of treatment strategy [17]. Accordingly, the specific timing of orchiectomy is still inconclusive. At present, it is generally recommended that after the onset of puberty, orchiectomy can be performed once the height and breasts have matured. But if the malignant tendency is found before puberty, testis should be removed as soon as possible. Long-term estrogen replacement therapy is required after surgery, which helps to induce puberty, maintain secondary sexual characteristics, promote the formation of bone mineral peaks and prevent bone loss, so as to benefit physical and socio-mental health. However, there is currently no uniform recommendation for suitable hormone preparations, administration routes and doses [18]. It should be noted that premature or excessive estrogen supplementation will accelerate the closure of the epiphysis, which is not conducive to adult height. Hence, it is suggested to give a small amount of androgens to increase height before epiphyseal closure, and then give estrogen to promote the development of female secondary sexual characteristics [19]. The height of this patient has reached a satisfactory level, so oral premarin 1.25 mg/d was given to maintain female secondary sexual characteristics, and calcium tablets and Vitamin D supplementary therapy to prevent osteoporosis. Current studies have revealed that even if HRT is properly implemented after surgery, CAIS patients are still affected to varying degrees on mental health and sexual satisfaction. Patients with androgen supplementation alone are not inferior to estrogen supplementation in terms of mental/psychological health and quality of life, which can promote sexual desire, and there is no obvious masculinity, but more research is needed in the future to determine which regimen is best for estrogen or androgen [20].

In addition, the vulva of CAIS patients is completely feminized and they are often raised as girls, but the vagina is usually short or even only shallow-concave shape. So when necessary, the vagina needs to be reconstructed to meet the demands of their sexual life and psychological development. The current point of view is that vaginal molds or regular sex life can effectively expand the vagina and achieve the desired depth, which is a simple, safe and effective method. For those among whom vaginal dilatation treatment is ineffective, vaginal reconstruction surgery is feasible if they have surgical needs and are willing to bear surgical risks [21].

Conclusion

The clinical manifestations of CAIS are relatively insidious. Clinicians should master the characteristics of this disease, identify carefully, make a clear diagnosis, and then develop an individualized treatment plan, so as to improve the life quality of patients and reduce the occurrence of tumors as much as possible.

Funding Information

The authors declare the study received no funding.

Conflict of Interest

The authors declare no conflict of interest.

Authorship Contributions

The authors confirm contribution to the paper as follows: study conception and design: YH, CL; data collection: CL, HL; analysis and interpretation of results: YH, CL, HL; draft manuscript preparation: YH. All authors reviewed the results and approved the final version of the manuscript.

Ethical Approval

The study was approved by the institutional review board (IRB) of Macau Kiangwu Hospital (IRB No. 2018-006) and performed in accordance with the principles of the Declaration of Helsinki.

Informed Consent

Informed consent was obtained from the parents.

References

  1. Brown CJ, Goss SJ, Lubahn DB, Joseph DR, Wilson EM, et al. (1989) Androgen receptor locus on the human X chromosome: Regional localization to Xq11-12 and description of a DNA polymorphism. Am J Hum Genet 44: 264-269.
  2. Hughes IA, Davies JD, Bunch TI, Pasterski V, Mastroyannopoulou K, et al. (2012) Androgen insensitivity syndrome. Lancet 380: 1419-1428.
  3. Batista RL, Costa EMF, Rodrigues AS, Gomes NL, Faria JA, et al. (2018) Androgen insensitivity syndrome: A review. Arch Endocrinol Metab 62: 227-235.
  4. Gulia C, Baldassarra S, Zangari A, Briganti V, Gigli S, et al. (2018) Androgen insensitivity syndrome. Eur Rev Med Pharmacol Sci. 22: 3873-3887.
  5. Infante JB, Alvelos MI, Bastos M, Carrilho F, Lemos MC, et al (2016) Complete androgen insensitivity syndrome caused by a novel splice donor site mutation and activation of a cryptic splice donor site in the androgen receptor gene. J Steroid Biochem Mol Biol 155: 63-66.
  6. Hua KH, Yang L, Zhang XW, Bai WJ, Li Q, et al. (2017) Complete androgen insensitivity syndrome associated with vesical fistula: A case report and literature review. Beijing Da Xue Xue Bao Yi Xue Ban 49: 724-729.
  7. Coelho ML, Soares E, Freixo M, Brandao P, Marinho C, et al. (2021) Complete androgen insensitivity syndrome: A rare case of prenatal diagnosis. Rev Bras Ginecol Obstet 43: 710-712.
  8. Weidler EM, Baratz A, Muscarella M, Hernandez SJ, Leeuwen KV (2019) A shared decision-making tool for individuals living with complete androgen insensitivity syndrome. Semin Pediatr Surg 28: 150844.
  9. Terro JJ, El-Helou E, Jammoul K, Lakkis RE, Shibli A, et al. (2020) Bilateral inguinal masses or hernias in a female teenager with delayed menarche: Think of complete androgen insensitivity syndrome (CAIS), a case report. Int J Surg Case Rep 76: 25-29.
  10. Barmon D, Kataki AC, Sharma JD, Hafizur R (2011) Embryonal carcinoma in androgen insensitivity syndrome. Indian J Med Paediatr Oncol 32: 105-108.
  11. Siminas S, Kokai G, Kenny SE (2013) Complete androgen insensitivity syndrome associated with bilateral Sertoli cell adenomas and paratesticular leiomyomas: Case report and review of the literature. J Pediatr Urol 9: e31-34.
  12. Gottlieb B, Beitel LK, Nadarajah A, Paliouras M, Trifiro M (2012) The androgen receptor gene mutations database: 2012 update. Hum Mutat 33: 887-894.
  13. Oakes MB, Eyvazzadeh AD, Quint E, Smith YR (2008) Complete androgen insensitivity syndrome--a review. J Pediatr Adolesc Gynecol 21: 305-310.
  14. Tian L, Zou Y, Tan J, Wang Y, Chen J, et al. (2021) Androgen receptor gene mutations in 258 Han Chinese patients with polycystic ovary syndrome. Exp Ther Med 21: 31.
  15. Liu AX, Shi HY, Cai ZJ, Liu A, Zhang D (2014) Increased risk of gonadal malignancy and prophylacticgonadectomy: A study of 102 phenotypic female patients with Y chromosome or Y-derived sequences. Hum Reprod 29: 1413-1419.
  16. Barros BA, Oliveira LR, Surur CRC, Barros-Filho AA, Maciel-Guerra AT, et al. (2021) Complete androgen insensitivity syndrome and risk of gonadal malignancy: Systematic review. Ann Pediatr Endocrinol Metab 26: 19-23.
  17. Cools M, Wolffenbuttel KP, Hersmus R, Mendonca BB, Kaprova J, et al. (2017) Malignant testicular germ cell tumors inpostpubertal individuals with androgen insensitivity: Prevalence, pathology and relevance of single nucleotide polymorphism-based susceptibility profiling. Hum Reprod 32: 2561-2573.
  18. Bertelloni S, Dati E, Baroncelli GI, Hiort O (2011) Hormonal management of complete androgen insensitivity syndrome from adolescence onward. Horm Res Paediatr 76: 428-433.
  19. Lanciotti L, Cofini M, Leonardi A, Bertozzi M, Penta L, et al. (2019) Different clinical presentations and management in complete androgen insensitivity syndrome (CAIS). Int J Environ Res Public Health 16: 1268.
  20. Birnbaum W, Marshall L, Werner R, Kulle A, Holterhus PM, et al. (2018) Oestrogen versus androgen in hormone- replacement therapy for complete androgen insensitivity syndrome: A multicentre, randomised, double-dummy, double-blind crossover trial. Lancet Diabetes Endocrinol 6: 771-780.
  21. Committee on Adolescent Health Care (2018) ACOG Committee Opinion No. 728: Mullerian agenesis: Diagnosis, management, and treatment. Obstet Gynecol 131: e35-e42.

Citation

Hong Y, Chun-ke L, Hai-qi L (2022) Complete Androgen Insensitivity Syndrome: A Rare Case with 47, XXY/46, XY Mosaic Karyotype and Literature Review. Obstet Gynecol Cases Rev 9:227. doi.org/10.23937/2377-9004/1410227