International Journal of Respiratory and Pulmonary Medicine
Objective Quantitative CT Evaluation using Different Attenuation Ranges in Patients with Pulmonary Fibrosis: Correlations with Visual Scores
Shin Matsuoka1*, Tsuneo Yamashiro1,2, Shoichiro Matsushita1, Atsuko Fujikawa1, Kunihiro Yagihashi1 and Yasuo Nakajima1
1Department of Radiology, St. Marianna University School of Medicine, Japan
2Department of Radiology, University of the Ryukyu, Japan
*Corresponding author: Shin Matsuoka, MD, Department of Radiology, St. Marianna University School of Medicine, 2-16-1 Sugao, Miyamae-Ku, Kawasaki, Kanagawa, 216-8511, Japan, Tel: +81-44-977-8111, E-mail: shin4114@mac.com
Int J Respir Pulm Med, IJRPM-3-049, (Volume 3, Issue 2), Original Article; ISSN: 2378-3516
Received: April 04, 2016 | Accepted: June 27, 2016 | Published: June 30, 2016
Citation: Matsuoka S, Yamashiro T, Matsushita S, Fujikawa A, Yagihashi K, et al. (2016) Objective Quantitative CT Evaluation using Different Attenuation Ranges in Patients with Pulmonary Fibrosis: Correlations with Visual Scores. Int J Respir Pulm Med 3:049. 10.23937/2378-3516/1410049
Copyright: © 2016 Matsuoka S, et al. This is an open-access article distributed under the terms of the Creative Commons Attribution License, which permits unrestricted use, distribution, and reproduction in any medium, provided the original author and source are credited.
Abstract
Introduction: Objective quantitative evaluation for the extent of fibrosis has been introduced using CT densitometry in patients with interstitial lung diseases, however, there have been no definitive attenuation cut-off values to evaluate the extent of ground-glass opacity and fibrosis separately. This study was conducted to investigate the relationships between quantitative CT measurements using different attenuation ranges and visual CT scores, and to determine whether the different attenuation ranges can estimate the extent of ground-glass opacity and fibrosis separately in patients with pulmonary fibrosis.
Methods: This study included 40 pulmonary fibrosis patients. The extent of an interstitial lesion was defined as a high attenuation area (HAA) using thresholds with pixels between 0 and -700 HU, and the extent of fibrosis was obtained by calculating the mean percentage HAA for the whole lung (%HAA0/-700). Likewise, the mean percentage HAA of different attenuation ranges, between -500 and -700 HU and between 0 and -500 HU, were obtained (%HAA-500/-700, and %HAA0/-500, respectively). The extents of ground-glass opacity and lung fibrosis were evaluated visually. The correlations of the %HAAs and visual scores were evaluated using Spearman rank correlation coefficients.
Results: There were significant correlations between the mean %HAA0/-700 and the overall extent of interstitial lung lesions (ρ = 0.911, p < 0.0001). The mean %HAA0/-500 had a high correlation coefficient with fibrosis (ρ = 0.751, p < 0.0001). The mean %HAA-500/-700 had a high correlation coefficient with ground-glass opacity (ρ = 0.739, p < 0.0001).
Conclusion: Different attenuation ranges can be used to estimate the extent of ground-glass opacity and fibrosis separately.
Keywords
Pulmonary fibrosis, Computed tomography, Densitometry, CT quantificat
Introduction
In patients with pulmonary fibrosis, the extent of fibrosis on computed tomography (CT) correlates with pulmonary function [1,2], and it has been reported to be an important factor for predicting its prognosis [3,4]. The extent of fibrosis that can be evaluated by quantitative visual scoring systems is limited due to interobserver variation [5,6]. Therefore, objective quantitative evaluations are essential for reproducibility and for a multicenter study.
Recently, objective quantitative evaluation for the extent of fibrosis has been introduced using CT densitometry in patients with interstitial lung diseases [1,2,7-15]. Shin et al. adopted the threshold attenuation range between -500 HU and -700 HU for the evaluation of the extent of interstitial lung disease, and they found that it had an excellent correlation with the decrease of diffusing capacity of the lungs for carbon monoxide (DLco) [2]. Severzellati et al. evaluated the relationship between several different attenuation ranges and pulmonary function tests (PFTs), and they found that the attenuation range between -400 HU and -700 HU provided a good correlation with DLco in patients with a predominant pattern of ground-glass and reticular opacities without honeycombing [7]. More recently, in patients with combined pulmonary fibrosis and emphysema (CPFE), the extent of interstitial lung lesions was evaluated using an attenuation range between 0 HU and -700 HU [12,13], and significant correlations were found between the quantitative extent of fibrosis and the results of PFTs including DLco. These previous studies showed good correlations between CT densitometry and PFTs, but there have been no definitive attenuation cut-off values to evaluate the extent of interstitial lung lesions.
Although some studies showed good correlations in the extent of interstitial lung lesions between CT densitometry and visual CT scores, these studies evaluated only the total score of interstitial lung lesions [2,12,13]. In patients with interstitial lung diseases, in contrast to patients with emphysema, there are different pathological lesions with different attenuation values. In fact, in the previous study [11], lung attenuation between -750 and -450 HU was considered as the range of ground-glass opacity, lung attenuation between -450 and -150 HU was considered the range of reticular opacity, and lung attenuation between -150 and 100 HU was considered the range of consolidation and fibrosis, but, to the best of our knowledge, there has been no study evaluating the relationships between different attenuation ranges and each CT finding in patients with interstitial lung diseases. In particular, separate evaluations of the extent of ground-glass opacity and fibrosis would be important to assess the progression or acute exacerbation of interstitial lung diseases. We hypothesized that quantitative CT measurements with different lung attenuation ranges could evaluate the extent of ground-glass opacity and fibrosis separately.
The purpose of this study was to investigate the relationships between the quantitative CT measurements using different lung attenuation ranges and visual CT scores for the different CT findings or the results of PFTs in patients with pulmonary fibrosis, and to determine whether the different attenuation ranges can be used to estimate the extent of ground-glass opacity and fibrosis separately.
Methods
Subjects
This retrospective study was approved by our institutional review board, which waived the need for informed consent. One radiologist reviewed medical records and CT images obtained between January 2011 and December 2014, and patients who underwent non-contrast enhanced CT for the evaluation of pulmonary fibrosis were selected. In these patients, patients who underwent PFTs including DLco within one week of obtaining CT scans were selected.
The pattern of interstitial pneumonia was examined in accordance with IPF guidelines [16], and was categorized as usual interstitial pneumonia (UIP) pattern; possible UIP pattern; and inconsistent UIP pattern. Two chest radiologists reviewed all CT images retrospectively, and the final assessment was achieved by consensus.
Exclusion criteria included prior cardiopulmonary disease; parenchymal lesions other than interstitial change; pneumothorax or pleural effusions; and image noise that prevented image analysis. Subjects with acute exacerbation of interstitial pneumonia were also excluded. We also excluded patients as noted in the IPF guidelines [16]. Additionally, the presence of connective tissue disease or any other interstitial lung disease such as drug-induced interstitial lung disease, pneumoconiosis, hypersensitivity pneumonitis, and sarcoidosis were excluded.
Fifty-seven patients underwent both CT and PFT within one week. According to the CT criteria in this study, 11 patients were excluded because of prior cardiopulmonary disease (n = 1), parenchymal lesions other than interstitial change (n = 3), pneumothorax or pleural effusions (n = 1), and image noise (n = 1). In addition, acute exacerbation of interstitial pneumonia (n = 1), non-typical IPF (n = 5), and the presence of connective tissue disease or any other interstitial lung disease (n = 5) were also excluded. Thus, 40 patients were selected for this study.
CT scanning
CT scans were performed using multi-detector spiral CT scanners (Aquillion, Toshiba Medical) within one breathe hold at deep inspiration. CT images were obtained with 120 kV, 200 mA, and all images were reconstructed using a standard reconstruction algorithm with a slice thickness of 2 mm.
Quantitative CT measurements
For the quantitative CT evaluation, four CT slices were selected from CT images. The first upper lung slice was taken ~1 cm above the upper margin of the aortic arch, the second upper lung slice was taken at the carina, the first lower slice was taken ~1 cm below the right inferior pulmonary vein, and the second lower lung slice was taken 2 cm above the lung base. These CT images were analyzed using a semiautomatic image-processing software (Image J Version 1.48 f).
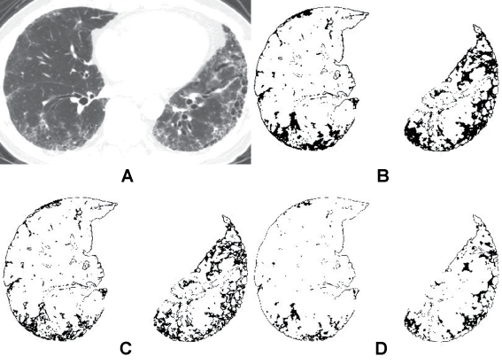
For the evaluation of the extent of interstitial fibrotic change, the lung field was segmented using a threshold technique with all pixels between -200 and -1024 HU [12,13]. When auto segmentation was difficult due to the presence of the sub pleural fibrosis, the boundary of the lung field was traced manually. In reference to previous studies, total interstitial lesion was defined as high attenuation area (HAA) using a threshold with all pixels between 0 and -700 HU [2,11-13]. Also areas with different lung attenuation ranges of -500 and -700 HU, and 0 and -500 HU were calculated. The mean percentage of each HAA in different attenuation ranges was obtained by calculating the mean percentage of each HAA (%HAA0/-700, %HAA-500/-700, and %HAA0/-500, respectively) (Figure 1).
.
Figure 1 a) Axial CT section of the lung shows segmented area using;
b) Pixels with attenuation range between 0 and -700 HU are highlighted in black on the CT scan. The mean percentage of high attenuation area (%HAA0/-700) is calculated as the percentage of the lung attenuation area between 0 and -700 HU for the total lung area;
c) Pixels with attenuation values between -500 and -700 HU are highlighted in black on the CT scan. The mean percentage of high attenuation area (%HAA-500/-700) is calculated as the percentage of the lung attenuation area between -500 and -700 HU for the total lung area;
d) Pixels with attenuation values between 0 and -500 HU are highlighted in black on the CT scan. The mean percentage of high attenuation area (%HAA0/-500) is calculated as the percentage of the lung attenuation area between 0 and -500 HU for the total lung area.
View Figure 1
Quantitative CT visual scoring
Two radiologists performed quantitative visual scoring, and the extent of pulmonary abnormality was recorded. The mean extent of ground-glass opacity, reticular abnormality, and honeycombing was scored to the nearest 5% in each slice that was used for quantitative measurements of the extent of fibrosis [1]. The mean extent of fibrosis was calculated as the mean of the extent of reticular abnormality and honeycombing [1], and the overall extent of interstitial lesion was calculated as the sum of the mean extent of ground-glass opacity and fibrosis. Observers received training sessions prior to the study, and interobserver variability was evaluated and determined to be satisfactory for consistency in visual CT scoring.
Pulmonary function tests
PFTs included spirometry and measurement of DLco was performed. Forced expiratory volume in 1 second (FEV1) and forced vital capacity (FVC) were measured according to standard techniques. Values for each pulmonary function test were expressed as percentages of predicted values. DLco was measured by the single-breath method, and the predicted value for DLco was determined.
Statistical analysis
The correlations between each %HAA0/-700, %HAA-500/-700, and %HAA0/-500 and visual CT scores including ground-glass opacity, fibrosis, and overall extent of interstitial lesion, and also the correlations with the results of PFT were evaluated using Spearman rank correlation coefficients. Multiple linear regression analysis using the ground-glass opacity and fibrosis as dependent variables was also performed to evaluate the impact of measured %HAA-500/-700 and %HAA0/-500. For all statistical analyses, the null hypothesis was rejected at the 5% level. All statistical analyses were performed using JMP 8.0 software (SAS Institute, Cary, NC).
Results
Patient’s characteristics, the results of PFTs and quantitative CT measurement are shown in table 1. The mean %HAA0/-700 was 22.9% ± 8.6, and the mean %HAA-500/-700 and %HAA0/-500 was 11.4% ± 6.4, and 11.4% ± 4.1, respectively. In regard to the pattern of interstitial pneumonia, 10 patients (25%) were classified into UIP, 17 patients (42.5%) were classified into possible UIP pattern, and 13 patients (32.5%) were classified into inconsistent UIP pattern.
![]()
Table 1: Patients characteristics, pulmonary function and CT measurements.
View Table 1
![]()
Table 2: Correlations between CT measurements and visual score.
View Table 2
The mean total extent of interstitial lung lesion, ground-glass opacity, and fibrosis were 25.2% ± 9.3, 9.3% ± 5.0, and 15.9% ± 7.1, respectively. Mean visual score of fibrosis was relatively higher than %HAA0/-500. The correlations between the %HAA and visual CT score are shown in table 2. There were significant correlations between the mean %HAA0/-700 and ground-glass opacity (ρ = 0.596, p < 0.0001), fibrosis (ρ = 0.765, p < 0.0001), and overall extent of interstitial lesion (ρ = 0.911, p < 0.0001) (Figure 2). The mean %HAA-500/-700 had a high correlation coefficient with ground-glass opacity (ρ = 0.739, p < 0.0001) (Figure 3). The mean %HAA0/500 had a high correlation coefficient with fibrosis (ρ = 0.751, p < 0.0001) (Figure 4), however, there was also had a good correlation coefficient between %HAA0/-700 and fibrosis (ρ = 0.765, p < 0.0001). On multiple linear regression analysis with the results of ground-glass opacity and fibrosis as dependent variables, %HAA-500/-700 was independent contributors to ground-glass opacity (r2 = 0.564, p < 0.001). Meanwhile, although both %HAA0/-500 and %HAA-500/-700 were independent contributors to fibrosis (r2 = 0.635, p < 0.0001), the predictive power of %HAA0/-500 (p < 0.0001) was superior to that of %HAA500/-700 (p = 0.01) (Table 3).
.
Figure 2: The correlations between %HAA0/-700 and the overall extent of interstitial lesion. There is a significant correlation (ρ = 0.911, p < 0.0001).
View Figure 2
.
Figure 3: The correlations between %HAA-500/-700 and the extent of ground-glass opacity. There is a significant correlation (ρ = 0.739, p < 0.0001).
View Figure 3
![]()
Table 3: Independent Contributions of %HAA0/-500 and %HAA-500/-700.
View Table 3
The correlations between the CT measurements and PFTs are shown in table 4. The significant negative correlations were found between all %HAAs and DLco% predicted, FVC% predicted, or FEV1% predicted. The correlation coefficients between %HAA-500/-700 and those results of PFTs were slightly lower than that between %HAA0/-700 or %HAA0/-500 and PFTs results.
.
Figure 4: The correlations between %HAA0/-500 and the extent of fibrosis. There is a significant correlation (ρ = 0.751, p < 0.0001).
View Figure 4
![]()
Table 4: Correlations between CT measurements and pulmonary functions.
View Table 4
Discussion
In this study, we found that lung attenuation with the range of -500 and -700 HU had a good correlation with the extent of ground-glass opacity, and lung attenuation with the range of 0 and -500 HU had an excellent correlation with the extent of fibrosis. Thus, these different lung attenuation ranges could estimate the extent of each ground-glass opacity and fibrosis separately in some degree. Our current study is a first report evaluating the correlation between objective CT measurements with different lung attenuation ranges and visual CT score in patients with interstitial fibrosis.
For the quantitative CT evaluation, densitometry has been adopted in various lung diseases. Indeed, quantitative CT evaluation of emphysema has been used widely. In contrast, quantitative evaluation of the extent of interstitial lung lesions has not been widespread. The possible main reason may be that there has not been established definition of threshold ranges for the quantitative evaluation of the extent of interstitial change.
Shin et al. demonstrated that there was a positive correlation between the areas with attenuation range of -500 to -700 HU and overall extent of interstitial lung lesion measured using visual score [2]. In our current study, similar to their study, %HAA-500/-700 also had a good correlation with overall extent of interstitial lung lesion. In addition, the results of the correlation with DLco were also similar. Thus, one might think that the %HAA-500/-700 could evaluate not only the extent of ground-glass opacity but also overall extent of interstitial lung lesion. However, the mean %HAA-500/-700 (11%) was different from the mean overall extent of interstitial lung lesion (25%). Thus, the area with attenuation range between -500 HU and -700 HU should be adopted for the evaluation of the extent of ground-glass opacity.
Although lung attenuation with the range of 0 and -500 HU had an excellent correlation with the extent of fibrosis, interestingly, %HAA0/-700 also had an excellent correlation with the extent of fibrosis as with %HAA0/-500. So, we did additional evaluation of the relationship between %HAA0/-700 and %HAA0/-500 with Spearman’s rank correlation coefficients, and we found high correlation in this relation (ρ = 0.936, p < 0.0001), which may be able to explain the results. However, as same as %HAA-500/-700, the mean %HAA0/-500 (11%) was different from the mean overall extent of interstitial lung lesion (25%). Thus, the area with attenuation range between 0 and -500 HU should be adopted for the evaluation of the extent of fibrosis.
We know there has been still problem to differentiate ground-glass opacity from fibrosis with CT densitometry technique. Many previous studies showed that there were indispensable overlap of attenuation values between ground-glass opacity and fibrosis [17,18]. In fact, ground-glass opacity can reflect interstitial fibrotic change, and reticular opacity also can be superimposed on ground-glass opacity. These interactions make it difficult to differentiate ground-glass opacity from fibrosis completely. Also those relationships can be related to all %HAAs had significant correlation with each visual scores. In addition, quantitative measurement of honeycombing is another problem. Previous study showed that %HAA0/-700 had a significant correlation with the extent of honeycombing in small sample subjects [12]. In current study, mean value of visual score of fibrosis was relatively higher than %HAA0/-500. Thus, honeycombing cystic air spaces might not be involved in %HAA. Alternative quantitative method should be required to estimate the extent area of honeycombing in a precise manner.
We also found that all %HAA measurements had significant correlations with the results of DLco% predicted. Interestingly, although there was a significant difference between mean %HAA0/-700 (23.1%) and mean %HAA0/-500 (11.5%), the correlation coefficients between those %HAA and DLco %predicted were very similar. Meanwhile, although there was a significant correlation between %HAA-500/-700 and DLco, this correlation coefficient was slightly lower than that with %HAA0/-700 or %HAA0/-500. The decline in DLco is likely due to reduced vascular surface area and pulmonary capillary blood volume plus alveolar membrane thickening. Those pathological changes also can be demonstrated as ground-glass opacity on CT findings; therefore, %HAA-500/-700 may have a significant correlation with the decline in DLco% predicted to some degree. From the results of higher correlation between %HAA0/-700 or %HAA0/-500 and DLco% predicted as compared with the relation between %HAA-500/-700 and DLco% predicted, the decline of DLco may be more related to fibrotic lesion than ground-glass lesion. In fact, additional multiple linear regression analysis using the DLco% predicted as dependent variables for the evaluation of the impact of %HAA0/-500 and %HAA-500/-700, and also the evaluation of the impact of visual score of ground-glass opacity and fibrosis showed that the %HAA0/-500 and visual score of fibrosis were each independent contributor to DLco% predicted (r = -0.397, p = 0.01, and r = -0.629, p < 0.0001, respectively).
Other objective quantitative CT indexes, such as skewness and kurtosis, have been advocated for the evaluation of the extent of pulmonary fibrosis [1,15,19,20]. These indexes had good correlations with the results of PFTs in patients with interstitial lung diseases [1,15,19,20]. However, skewness and kurtosis cannot be easily obtained. In contrast, densitometry can be conducted with almost all-imaging analysis software. Thus, measurement of %HAA would be practical in both clinical and research field. Furthermore, the densitometry measurement of %HAA is useful not only interstitial fibrosis. Especially, area of different attenuation range can evaluate the extent of ground-glass opacity. Thus, this method can apply many other diseases such as allergic lung diseases or pneumocystis pneumonia, or specific condition of interstitial fibrosis such as acute exacerbation.
This study has some limitations. First, because of the retrospective evaluation, there might be several selection biases in the present subjects. Second, we did not evaluate the relationship between histopathological change and %HAAs in pulmonary fibrosis. Third, we did not use spirometric gating during CT acquisition. Lung attenuation can be affected by the phase of respiration.
In conclusion, we found that the objective quantitative evaluation with the area of different attenuation ranges could evaluate ground-glass opacity and fibrosis separately in some degree. In addition, we confirmed that the %HAAs could predict the pulmonary functions in patients with pulmonary fibrosis.
References
-
Best AC, Meng J, Lynch AM, Bozic CM, Miller D, et al. (2008) Idiopathic pulmonary fibrosis: physiologic tests, quantitative CT indexes, and CT visual scores as predictors of mortality. Radiology 246: 935-940.
-
Shin KE, Chung MJ, Jung MP, Choe BK, Lee KS (2011) Quantitative computed tomographic indexes in diffuse interstitial lung disease: correlation with physiologic tests and computed tomography visual scores. J Comput Assist Tomogr 35: 266-271.
-
Wells AU, Desai SR, Rubens MB, Goh NS, Cramer D, et al. (2003) Idiopathic pulmonary fibrosis: a composite physiologic index derived from disease extent observed by computed tomography. Am J Respir Crit Care Med 167: 962-969.
-
Shin KM, Lee KS, Chung MP, Han J, Bae YA, et al. (2008) Prognostic determinants among clinical, thin-section CT, and histopathologic findings for fibrotic idiopathic interstitial pneumonias: tertiary hospital study. Radiology 249: 328-337.
-
Johkoh T, Müller NL, Colby TV, Ichikado K, Taniguchi H, et al. (2002) Nonspecific interstitial pneumonia: correlation between thin-section CT findings and pathologic subgroups in 55 patients. Radiology 225: 199-204.
-
Collins CD, Wells AU, Hansell DM, Morgan RA, MacSweeney JE, et al. (1994) Observer variation in pattern type and extent of disease in fibrosing alveolitis on thin section computed tomography and chest radiography. Clin Radiol 49: 236-240.
-
Sverzellati N, Calabrò E, Chetta A, Concari G, Larici AR, et al. (2007) Visual score and quantitative CT indices in pulmonary fibrosis: Relationship with physiologic impairment. Radiol Med 112: 1160-1172.
-
Koyama H, Ohno Y, Yamazaki Y, Nogami M, Kusaka A, et al. (2010) Quantitatively assessed CT imaging measures of pulmonary interstitial pneumonia: effects of reconstruction algorithms on histogram parameters. Eur J Radiol 74: 142-146.
-
Camiciottoli G, Orlandi I, Bartolucci M, Meoni E, Nacci F, et al. (2007) Lung CT densitometry in systemic sclerosis: correlation with lung function, exercise testing, and quality of life. Chest 131: 672-681.
-
Sverzellati N, Zompatori M, De Luca G, Chetta A, Bnà C, et al. (2005) Evaluation of quantitative CT indexes in idiopathic interstitial pneumonitis using a low-dose technique. Eur J Radiol 56: 370-375.
-
Do KH, Lee JS, Colby TV, Kitaichi M, Kim DS (2005) Nonspecific interstitial pneumonia versus usual interstitial pneumonia: differences in the density histogram of high-resolution CT. J Comput Assist Tomogr 29: 544-548.
-
Matsuoka S, Yamashiro T, Matsushita S, Kotoku A, Fujikawa A, et al. (2015) Quantitative CT evaluation in patients with combined pulmonary fibrosis and emphysema: correlation with pulmonary function. Acad Radiol 22: 626-631.
-
Matsuoka S, Yamashiro T, Matsushita S, Fujikawa A, Kotoku A, et al. (2015) Morphological disease progression of combined pulmonary fibrosis and emphysema: comparison with emphysema alone and pulmonary fibrosis alone. J Comput Assist Tomogr 39: 153-159.
-
Karimi R, Tornling G, Forsslund H, Mikko M, Wheelock Å, et al. (2014) Lung density on high resolution computer tomography (HRCT) reflects degree of inflammation in smokers. Respir Res 15: 23.
-
Lederer DJ, Enright PL, Kawut SM, Hoffman EA, Hunninghake G, et al. (2009) Cigarette smoking is associated with subclinical parenchymal lung disease: the Multi-Ethnic Study of Atherosclerosis (MESA)-lung study. Am J Respir Crit Care Med 180: 407-414.
-
Raghu G, Collard HR, Egan JJ, Martinez FJ, Behr J, et al. (2011) An official ATS/ERS/JRS/ALAT statement: idiopathic pulmonary fibrosis: evidence-based guidelines for diagnosis and management. Am J Respir Crit Care Med 183: 788-824.
-
Okada T, Iwano S, Ishigaki T, Kitasaka T, Hirano Y, et al. (2009) Computer-aided diagnosis of lung cancer: definition and detection of ground-glass opacity type of nodules by high-resolution computed tomography. Jpn J Radiol 27: 91-99.
-
Kitami A, Kamio Y, Hayashi S, Suzuki K, Uematsu S, et al. (2012) One-dimensional mean computed tomography value evaluation of ground-glass opacity on high-resolution images. Gen Thorac Cardiovasc Surg 60: 425-430.
-
Best AC, Lynch AM, Bozic CM, Miller D, Grunwald GK, et al. (2003) Quantitative CT indexes in idiopathic pulmonary fibrosis: relationship with physiologic impairment. Radiology 228: 407-414.
-
Hartley PG, Galvin JR, Hunninghake GW, Merchant JA, Yagla SJ, et al. (1994) High-resolution CT-derived measures of lung density are valid indexes of interstitial lung disease. J Appl Physiol (1985) 76: 271-277.


