International Journal of Respiratory and Pulmonary Medicine
Endobronchial Lipoma in a Never-Smoker
Li Wang*, Meenakshi Bansal and Guang-Qian Xiao
University of Rochester Medical Center, USA
*Corresponding author: Li Wang, University of Rochester, School of Medicine & Dentistry, 601 Elmwood Ave, Box 471, Rochester NY 14620, USA, E-mail: Li_wang@urmc.rochester.edu
Int J Respir Pulm Med, IJRPM-2-036, (Volume 2, Issue 4), Case Report; ISSN: 2378-3516
Received: December 01, 2015 | Accepted: December 19, 2015 | Published: December 22, 2015
Citation: Wang L, Bansal M, Guang-Qian X (2015) Endobronchial Lipoma in a Never-Smoker. Int J Respir Pulm Med 2:036. 10.23937/2378-3516/1410036
Copyright: © 2015 Wang L, et al. This is an open-access article distributed under the terms of the Creative Commons Attribution License, which permits unrestricted use, distribution, and reproduction in any medium, provided the original author and source are credited.
Abstract
Endobronchial lipomas, usually found in the obese and in smokers, can cause patients significant distress with chronic cough, chest pain, dyspnea, and increased infection risk. Here we present a case of a 61 year-old obese, never-smoker gentleman who initially presented with chronic productive cough, hemoptysis, chills and night sweats; and was later found to have a right upper lobe lung parenchymal lesion. Biopsy demonstrated a picture consistent with obstructive endobronchial lipoma.
Keywords
Endobronchial lipoma, Never smoker, Chronic cough
Introduction
Endobronchial lipomas have been believed to represent 0.1 to 0.5% of all lung tumors or 0.1 to 0.4% of all bronchial tumors, usually presenting in the obese and in smokers [1,2]. They can be misdiagnosed as malignant lesions; and although most are fairly benign lesions, they can cause patients significant distress with chronic cough, chest pain, dyspnea, and increased risk of developing infection [3]. In addition, this infection could develop into a pleural empyema if the obstruction is untreated; hence it is particularly important to recognize its presence in a timely manner [4]. Here we present a case of a patient who has never been a smoker presenting with intermittent productive cough and right upper lobe lung parenchymal lesion.
Case Presentation
A 61 year-old obese, never-smoker gentleman was seen in outpatient clinic complaining of a mild intermittent chronic productive cough that began six months prior with hemoptysis, chills, and night sweats. His medical history included asthma, hypertension, chronic kidney disease, and diabetes mellitus. Physical exam demonstrated hypertension and obesity but was otherwise unremarkable and without a history of lipomatous disease. With the workup of the initial symptom onset, an outside hospital had completed a CT and PET scan (Figure 1) that demonstrated a cold right upper lobe lesion of approximately 6.2 x 3.2 x 3.2 cm with an enlarged subcarinal lymph node measuring 1.2 x 1.9 cm. He received a course of azithromycin, and with time, the hemoptysis, chills, and night sweats resolved.
.
Figure 1: (a) Sagittal CT image showing obstructed bronchus and (b) Transverse CT image with PET overlay with lung lesion.
View Figure 1
Two months later, he was still coughing, and an outside hospital bronchoscopy showed a well differentiated lipomatous neoplasm. A bronchoscopy performed another two months later showed complete obstruction of anterior segmental bronchus to the right upper lobe by a mass surrounded by what grossly appeared to be inflammatory tissue. Biopsies and cytology workup were all negative for malignancy. However, there was concern that the patient would be at risk for frequently developing pneumonia as a result of this endobronchial obstruction as well as the uncertain nature of the lipomatous lesion; and the patient subsequently received a right upper lobectomy via video-assisted thoracic surgery.
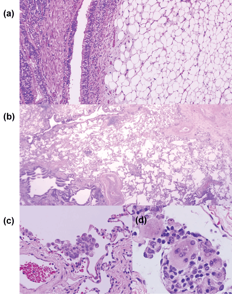
On gross, there was a right upper endobronchial 0.7 x 0.5 x 0.5 cm mass that appeared shiny, well circumscribed, and yellow (Figure 2); it was soft and slippery to the touch. Histology showed endobronchial submucosal mature adipose tissue consistent with endobronchial lipoma along with distal obstruction-related changes, including mild bronchiectasis, peri-bronchiolitis, accumulation of intra-alveolar foam cells, mild emphysematous changes, and rare multinucleated giant cells (Figure 3). AFB and GMS stains, completed to rule-out a mycobacterial reaction, were negative.
.
Figure 2: Endobronchial lipomatous lesion in bronchus of the right upper lung lobe
View Figure 2
.
Figure 3: (a) Significantly narrowed obstructed bronchus showing mature adipose tissue underneath the respiratory mucosa with distal changes in the lung parenchyma (b) Bronchiectasis, peri-bronchiolar inflammation, and mild emphysematous changes (c) focal accumulation of intra-alveolar foam cells (d) rare multinucleated giant cells with asteroid body
View Figure 3
Discussion
Endobronchial lipomas are rare benign tumors originating from respiratory submucosa and are usually found in the first three subdivisions of the tracheobronchial tree [3]. Similar to other reported cases, this patient was male and obese, and the lesion was in the right lung; however, these lipomatous endobronchial tumors are usually present in heavy smokers, and this patient had never been a smoker. While smoking and obesity seem to be prominent risk factors in developing endobronchial lipomas, it is unclear why [3]; this case does show that nonsmokers can also develop these lesions.
Additionally, while most cases had a chronic asthmatic picture (persistent cough, chest pain, dyspnea, etc), few cases have demonstrated hemoptysis, which may be from vascular impingement or post obstructive infection [5,6]. These nonspecific respiratory symptoms can frequently be the first presentation and the endobronchial lesion may be missed on initial imaging study.
The clinical picture is similar to that of bronchial carcinoid, mucoepidermoid carcinoma, endobronchial hamartoma, and other lipomatous masses such as atypical lipomatous tumors or well-differentiated liposarcomas. While CT, PET, and other imaging techniques can help differentiate malignant tumors and hamartomas from lipomatous tumors, bronchoscopy biopsies is needed to differentiate lipomas from atypical lipomatous tumors or well-differentiated liposarcomas. While lipomas tend to be found endobronchially, very rarely, they can also be seen peripherally [7]. Hamartomas are also often characterized by osteocartilagenous involvement [8]; while atypical lipomatous tumors and well-differentiated tumors have atypical adipocytes and can demonstrate sclerosis [9]. The latter two often are associated with heavy smoking, and ancillary immunohistochemistry or chromosomal translocation study may be helpful in diagnosing cases that are more challenging to differentiate [9].
Given the limited number of reported cases, it is not clear if the best treatment for this tumor would be electrocautery, cryotherapy, mechanical removal with forceps, or thoracostomy. While the literature supports that all of the above have been used, and can be safe without recurrence after two years of follow-up [10]; there is an instance in the literature of a patient whose forcep-resected lipoma recurred after four years [1]. Further incidences should be examined and followed for longer periods to determine the best treatment option.
References
-
Opoka L, Lewandowska K, Langfort R, Rudzi Å, ski P (2010) [Recurrence of endobronchial lipoma]. Pneumonol Alergol Pol 78: 369-373.
-
Sacristán Bou L, Fernández Robledo E, Peña Blas F (2014) Endobronchial lipoma: an unusual cause of bronchial obstruction. Arch Bronconeumol 50: 78-79.
-
Cao D, Sun Y, Yang S (2011) Endobronchial lipoma: an unusual cause of bronchial obstruction. Case Rep Med 2011: 939808.
-
Ouadnouni Y, Bouchikh M, Bekarsabein S, Achir A, Smahi M, et al. (2009) Endobronchial lipoma a rare cause of pleural empyema: a case report. Cases J 2: 6377.
-
Sarioglu N, Susur A, Goksel T, Paksoy S, Erel F (2014) An unexpected cause of hemoptysis: endobronchial lipomatous hamartoma. Med Arch 68: 65-66.
-
Schneider F, Winter H, Schwarz F, Niederhagen M, Arias-Herrera V, et al. (2012) Endobronchial lipomatous hamartoma: an incidental finding in a patient with atrial fibrillation-a case report. Case Rep Med 2012: 897581.
-
Sanchez-Font A, Pijuan L, Cristina R, Iván V, Víctor C (2011) Tumores endobronquiales benignos infrecuentes. Revista Espanola de Patologia 44: 245-248.
-
Stey CA, Vogt P, Russi EW (1998) Endobronchial lipomatous hamartoma: a rare cause of bronchial occlusion. Chest 113: 254-255.
-
Boland JM, Fritchie KJ, Erickson-Johnson MR, Oliveira AM, Colby TV, et al. (2013) Endobronchial lipomatous tumors: clinicopathologic analysis of 12 cases with molecular cytogenetic evidence supporting classification as "lipoma". Am J Surg Pathol 37: 1715-1721.
-
Boland JM, Fritchie KJ, Erickson-Johnson MR, Oliveira AM, Colby TV, et al. (2013) Endobronchial lipomatous tumors: clinicopathologic analysis of 12 cases with molecular cytogenetic evidence supporting classification as "lipoma". Am J Surg Pathol 37: 1715-1721.
-
Nassiri AH, Dutau H, Breen D, Colchen A, Quiot JJ, et al. (2008) A multicenter retrospective study investigating the role of interventional bronchoscopic techniques in the management of endobronchial lipomas. Respiration 75: 79-84.


