International Journal of Oral and Dental Health
Recurrent Osseous Choristoma Involving the Mandibular Buccal Vestibule: A Case Report
Curtis Gregoire, Clayton Davis*, Martin Bullock and Thomas Steeves
Department of Oral and Maxillofacial Surgery, Capital District Health and Dalhousie University, Canada
*Corresponding author:
Dr. Clayton Davis, B.Sc, DDS, Department of Oral and Maxillofacial Surgery, Capital District Health and Dalhousie University, 1276 South Park Street, Halifax, Nova Scotia, Canada, E-mail: cmd@dal.ca
Int J Oral Dent Health, IJODH-1-004, (Volume 1, Issue 1), Case Report; ISSN: 2469-5734
Received: February 23, 2015 | Accepted: March 14, 2015 | Published: March 19, 2015
Citation: Gregoire C, Davis C, Bullock M, Steeves T (2015) Recurrent Osseous Choristoma Involving the Mandibular Buccal Vestibule: A Case Report. Int J Oral Dent Health 1:004. 10.23937/2469-5734/1510004
Copyright: © 2015 Gregoire C, et al. This is an open-access article distributed under the terms of the Creative Commons Attribution License, which permits unrestricted use, distribution, and reproduction in any medium, provided the original author and source are credited.
Abstract
This case report is the third ever reported of a recurrent intraoral osseous choristoma. The lesion had manifested twice in the left mandibular buccal vestibule of a 63-year-old Caucasian female. The patient was treated with wide local excision on both occasions. We believe that the lesions may have arisen as a result of previous trauma, although the exact etiology of the lesions is unknown. Interestingly, the recurrent lesion contained satellite nodules of bone, which suggests that the osseous choristoma may recur yet again.
Introduction
An osseous choristoma is a tumour-like growth of lamellar bone in a location where bone does not normally form [1,2]. This is a rare condition of the head and neck, and it mainly occurs on the posterior third of the tongue [3]. The occurrence of an osseous choristoma in other oral tissues such as the buccal mucosa and buccal vestibule is considerably infrequent compared to those involving the tongue [1]. Furthermore, recurrence following surgical excision is incredibly rare, and only two such cases have been documented: one in the buccal mucosa and one in the masseter muscle [4,5]. We report a new case of a patient with a recurrent osseous choristoma involving the left mandibular buccal vestibule.
Case Report
A 63-year-old Caucasian female was referred to the Oral & Maxillofacial Surgery Department of the Queen Elizabeth II Health Sciences Centre, for the assessment of a firm mass lateral to the left body of the mandible in the buccal vestibule apical to teeth 3.4 and 3.5. The patient noted that the mass originated at some point in the 1990's and felt it may have been caused by trauma to the affected area. The patient indicated that the nodule had grown in size and was occasionally painful. Her medical history was significant for gastroesophageal reflux, hypothyroidism, dyslipidemia, hypertension, and obstructive sleep apnea. Her medications included: Pantoprazole, acetylsalicylic acid (ASA), levothyroxine, celecoxib, fluticasone, spironolactone, perindopril, simvastatin, and calcium.
Clinical examination revealed no cervical lymphadenopathy and neurologic examination was normal, with no paresthesia in the left lower lip. The patient did have a firm, non-mobile, and non-tender 1.5 cm diameter nodule adjacent to the buccal cortex and apical to teeth 3.4 and 3.5. The mucosa overlying the nodule appeared normal, and there were no signs or symptoms of an infection. The mass was imaged initially with a panoramic and occlusal radiograph, the occlusal radiograph showed a calcified mass that was not continuous with the lateral cortex of the mandible. A computed tomography (CT) scan was performed and showed an ovoid density projecting superficial to the left mandible, adjacent to the mental foramen (Figure 1). A plane of fat existed between the nodule and the adjacent mandible, and the overlying muscle was displaced laterally. The nodule was measured to be a maximum of 2.0cm in diameter. There was also no soft-tissue component to the lesion. The patient was also sent for blood work at that time, with no abnormalities noted: calcium level was 2.51mmol/L (normal 2.23-2.58mmol/L), phosphorus level was 1.18mmol/L (normal 0.76-1.53mmol/L), and white blood cell (WBC) count was 9.8 WBC/μL (normal 4.5-11 WBC/μL).
Figure 1: Axial CT image and Coronal CT
View Figure 1
A wide local excision was performed and the specimen was submitted for histopathology. Histologic examination showed a circumscribed mass of mature lamellar bone surrounded by fibrous tissue. There was no atypia or mitotic activity noted. The dimensions of the bone were 2.0 × 1.5 × 1.0cm. After the assessment by a head and neck pathologist, the diagnosis was determined to be an osseous choristoma of the mandibular buccal vestibule. The patient was seen in follow-up at which time she was found to be healing well. The results were reviewed with the patient, and she was sent back to her general dentist for continuation of care.
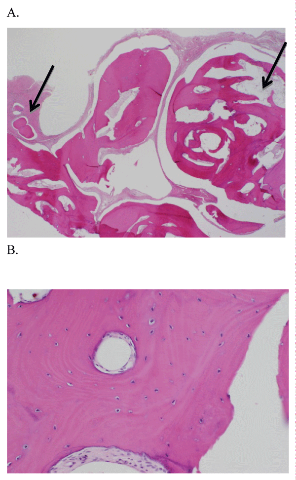
Two years later the patient returned with a new mass in the same area of previous excision. An excisional biopsy was performed. This specimen was fixed in formalin and sent for histopathological examination. The gross appearance of the recurrent mass was that of a single piece of white-pink solid tissue, with dimensions of 0.9 × 0.8 × 0.6 cm. Histological sections contained mature lamellar bone with focal superimposed areas of woven bone, arranged mainly in trabeculae with peripheral areas of thicker, cortical bone (Figure 2). Some fatty marrow was present; however, there was no hematopoiesis. The bone in the sections appeared to have an increased number of osteocytes (in comparison to normal lamellar bone), but there was no appreciable atypia or mitotic activity (Figure 2). The bone was one large fragment with several submillimeter satellite nodules located in the surrounding fibrous tissue.
Figure 2: A - Low power photomicrograph of recurrence, showing mature bone forming vague lobules and surrounded by a rim of fibrous tissue (artifactually separated). Note fatty marrow (right) and small satellite foci of bone (far left). (H&E, 20x). B - Higher power image of recurrence, showing mature lamellar bone lacking any atypia of the individual osteocytes (H&E 200x)
View Figure 2
Discussion
Osseous choristomas can be easily misdiagnosed as osteomas, but these two lesions can be distinguished based on their location, whether or not they recur after excision and their histological profiles. An osteoma is a benign neoplasm of bone that is associated with normal skeletal structures [4]. In contrast, an osseous choristoma is found in an abnormal site away from any normal osseous tissue [4]. In our case, this site was the patient's mandibular left buccal vestibule. Histologically, osteomas appear as dense compact bone with infrequent marrow spaces or trabecular bone with marrow spaces containing fibrous and fatty tissue, but are closely associated with a normal skeletal structure [6,7]. In contrast, an osseous choristoma is a tumour-like growth of histologically normal tissue in an abnormal location not in connection normal skeletal bone [6,7]. Based on these criteria, we were confident with diagnosing the lesion as an osseous choristoma. Osteomas reportedly do not recur after surgical excision [4]. Our patient experienced a recurrent lesion after the removal of the primary lesion, and it's also possible that she will experience a third lesion based on the presence of satellite nodules following removal of the secondary lesion.
There are several common demographic features of osseous choristomas. Firstly, the lesions have been shown to be most prevalent in people aged between 20 and 40 years [2]. However, many cases reported in the literature have involved people between the ages of 8 and 73 years, including our patient, who was 61 years old at the time of the initial diagnosis [2]. Secondly, there appears to be a female predisposition to developing osseous choristomas [2]. This trend is supported by our case, as our patient is female. To our knowledge, there appears that the prevalence of osseous choristomas do not seem to vary among racial groups.
There are several similarities between the recurrent osseous choristoma in our case and that of Long and Koutnik. Firstly, the dimensions of the extracted osseous fragments for both primary and secondary lesions in both cases were similar. The primary lesion in our case and Long and Koutnik's case had dimensions of 2.0 × 1.5 × 1.0 and 2.0 × 1.6 × 1.2cm, respectively [4]. The recurrent lesion in our case and Long and Koutnik's case had dimensions of 0.9 × 0.8 × 0.6 and 1.2 × 1.1 × 0.6cm, respectively [4]. It should be noted that the dimensions of osseous choristomas in past cases have been between 0.5 and 2.0cm2 Secondly, the individual primary and secondary lesions in each case occurred at the same site. In our case, both lesions occurred in the mandibular left buccal vestibule. In Long and Koutnik's case, both lesions occurred in the buccal soft tissue adjacent to the anterior border of the right mandibular ramus [4]. Thirdly, the lesions of both cases were unattached to underlying bone, and they were easily removed from surrounding tissue.
There are multiple theories that attempt to explain the etiology of intraoral osseous choristomas. Lesions of the posterior tongue (at or around the foramen cecum) may arise from anomalies during embryological development [4]. Osseous choristomas of the buccal mucosa and anterior tongue may arise as post-traumatic abnormalities [4]. Interestingly, our patient's initial lesion reportedly occurred following reported minor trauma to the affected area. In contrast, the primary lesion reported by Long and Koutnik did not follow any known trauma. In both cases, the secondary lesion may have arisen due to surgical trauma when removing first lesion. Dalkiz et al. [5] also suggest that the recurrent lesion in their case may have been due to a surgically generated fibrotic region (i.e., scar tissue) that ossified, or an uncalcified lesion that became ossified. In addition, they suggest that the formation of osseous choristomas could be a reactive process based on the size, location, and amount of bony masses that compose the lesion [5].
The prognosis of recurrent osseous choristomas is difficult to determine. Submillimeter satellite nodules were present on examination of the patient's recurrent lesion. Similarly, the primary lesion in the case of Dalkiz et al. [5] involved eight fragments of osseous tissue, where some of the smaller masses may have been satellite nodules. Unfortunately, the patient in their case refused surgery of the secondary lesion, so the gross and histological attributes of the recurrent lesion remain unknown [5]. In any case, our patient's lesion may recur based on the presence of these satellite nodules. Given the post-traumatic theory of osseous choristoma development, it will be interesting to see if surgical excision of the lesions is indeed a permanent solution or if surgery will lead to a continuous cycle of recurrence.
References
-
Johann AC, Garcia BG, Nacif TR, de Freitas JB, do Carmo MA, et al. (2006) Submandibular osseous choristoma. J Craniomaxillofac Surg 34: 57-59.
-
Goswamy M, Tabasum S, Kudva P, Gupta S (2012) Osseous choristoma of the periodontium. J Indian Soc Periodontol 16: 120-122.
-
Gaitán-Cepeda LA, Quezada-Rivera D, Ruíz-Rodríguez R (2003) Osseous choristoma of the oral soft tissue. Case report. Med Oral 8: 220-223.
-
Long DE, Koutnik AW (1991) Recurrent intraoral osseous choristoma. Report of a case. Oral Surg Oral Med Oral Pathol 72: 337-339.
-
Dalkiz M, Hakan Yurdakul R, Pakdemirli E, Beydemir B (2001) Recurrent osseous choristoma of the masseter muscle: case report. J Oral Maxillofac Surg 59: 836-839.
-
D'Amato S, Sgaramella N, Vanore L, Piombino P, Orabona GDA, et al. (2014) Piezoelectric bone surgery in the treatment of an osteoma associated with an impacted inferior third molar: a case report. Clin. Cases Mineral Bone Metab 11: 73-76.
-
Krolls SO, Jacoway JR, Alexander WN (1971) Osseous choristomas (osteomas) of intraoral soft tissues. Oral Surg. Oral Med. Oral Pathol 32: 588-595.


