Citation

Sarika J, Himanshu A, Kavita S (2023) Pseudo Hypoxic Brain Swelling - An Unanticipated Life-Threatening Complication in Neurosurgery - Report of Two Cases with Review of Literature. Int J Anesthetic Anesthesiol 10:164. doi.org/10.23937/2377-4630/1410164

Case Report | OPEN ACCESS DOI: 10.23937/2377-4630/1410164

Pseudo Hypoxic Brain Swelling - An Unanticipated Life-Threatening Complication in Neurosurgery - Report of Two Cases with Review of Literature

Juneja Sarika, MD*, Agarwal Himanshu, DM and Sandhu Kavita, MD

Department of Neurosciences, Max Superspeciality Hospital, Saket, New Delhi, India

Abstract

Pseudo Hypoxic Brain Swelling (PHBS) is an under diagnosed and seldom reported fatal complication of seemingly uneventful neurosurgery. Diagnosis may be confused with acute ischemic injury. Early recognition and institution of corrective measures can lead to complete reversal of symptoms and prevent mortality. In this paper, we want to highlight two cases of PHBS, which we came across and present their management and outcome, with review of literature.

Keywords

Intracranial hypotension, Subdural hematoma, Venous congestion, Hypoxic brain swelling

Introduction

The diagnosis of acute intracranial hypotension with subsequent development of pseudo hypoxic brain swelling (PHBS) is challenging and it may be confused with acute hypoxic brain injury. Clinically patients have unexpected postoperative disturbances in consciousness. Outcomes may range from full recovery to vegetative state or death and largely depend on early recognition and institution of corrective measures. Radiographic findings include atypical edema, infarction or hemorrhage. We present two cases of unexpected clinical deterioration in patients with otherwise uneventful neurosurgery. Both were operated for subdural hematoma (SDH) and the postoperative MRI scans exhibited edema in deep gray structures.

Case Presentation

Case 1

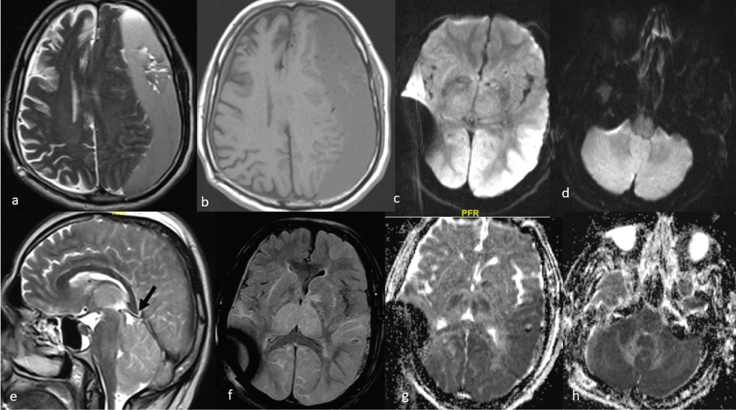
An 86-year-male presented with weakness in right upper and lower limb for two days, which had increased on the day of admission. He had a past history of coronary artery disease, psoriasis and hypothyroidism. He had been operated for normal pressure hydrocephalus a year ago and had a programmable shunt in situ . On examination, the patient was conscious but confused. Pupils were bilaterally equal and reacting to light. He had slurring of speech with right hemiparesis (power 4/5 in upper and lower limb). MRI brain (Figure 1a and Figure 1b) revealed a large SDH along the left cerebral convexity causing mass effect and midline shift and a thin SDH along the right cerebral convexity. The vital parameters, blood investigations, ECG and chest X-ray were normal. The patient underwent a left frontotemporoparietal craniotomy and evacuation of SDH under general anaesthesia and a subgaleal drain was left in situ . Intraoperative period was uneventful. Postoperatively, the patient was breathing spontaneously but there was no return of consciousness or reflexes. Non-contrast computed tomography (NCCT) head was done in the operation theatre which showed no fresh bleed. Thereafter, he was shifted to intensive care unit on ventilator. The patient did not show any improvement in sensorium even after four hours and GCS remained E1VTM1. MRI brain (Figure 1c, Figure 1d, Figure 1e, Figure 1f, Figure 1g and Figure 1h) was done which revealed extensive oedema with diffusion restriction involving bilateral cerebellum, pons, midbrain and left frontoparietal region. A posterior fossa decompression was planned but the family did not give consent. He was therefore managed conservatively with hyperosmolar therapy, Trendelenburg position and ventilatory support. The clinical condition did not improve and he developed refractory hypotension and died the following day.

Figure 1: T2W and T1W MRI image (a&b) showing large chronic left frontoparietal subdural hematoma. Post-operative DWI MRI (c,d,g&h) showing large areas of diffusion restriction involving bilateral parieto-occipital regions, cerebellum, thalamus and brain stem, suggesting irreversible damage. Post-operative sagittal T2W MRI image (e) showing distorted and pointed splenium (black arrow) compressing the vein of Galen. Flair MRI image (f) showing signal change and swelling in bilateral thalamus.
DWI: Diffusion Weighted Image; MRI: Magnetic Resonance Imaging; T1W: T1 Weighted; T2W: T2 Weighted. View Figure 1

Case 2

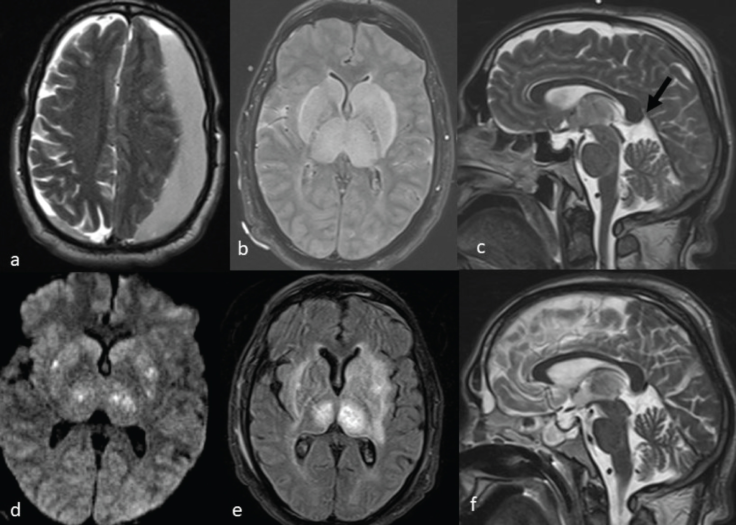
A 72-year-old known hypertensive male presented with frontal headache and weakness in right upper and lower limb for two days. On examination, the patient was fully conscious with normal vital parameters. Motor examination revealed right hemiparesis (power 3/5 in upper and lower limb). MRI brain with contrast (Figure 2a) showed a large subdural collection in left frontoparietal region causing significant mass effect on the left cerebral hemisphere and midline shift with effacement of the left lateral ventricle and underlying sulcal spaces. Thin subdural collection was also present along the right frontoparietal convexity with no mass effect. Blood investigations were normal. ECG showed sinus bradycardia with right bundle branch block and Echocardiography was within normal limits. Mannitol 100 ml intravenously three times a day and Injection levetiracetam 500 mg intravenously twice daily was started. He underwent left frontal and parietal burr hole evacuation of SDH under general anesthesia. The surgery was uneventful. Postoperatively, the patient had no spontaneous movements or reaction to painful stimuli although spontaneous respiration had returned. The Babinski sign was positive on both sides. Spontaneous eye opening was also present with preserved pupillary light reaction. NCCT head was done in operation theatre which did not show any obvious abnormality. The patient was shifted to ICU on ventilator with stable vitals. Electroencephalography was done to rule out non-convulsive seizures. Three hours after surgery, GCS of the patient was still E4VTM2 so MRI brain (Figure 2b, Figure 2c and Figure 2d) was done which revealed bilateral thalamic and basal ganglia hyperintensities, with no major diffusion restriction. No evidence of vascular abnormality was seen on MR angiography of brain and neck vessels. As no episode of intraoperative hypotension or hypoxia had occurred, based on clinical and radiological findings, acute intracranial hypotension was suspected. The patient was managed with Trendelenburg position and intravenous hydration. There was one episode of generalized tonic clonic seizure which was terminated with Injection Midazolam 2 mg intravenously and dose of Injection Levetiracetam was increased to 1 g intravenously two times a day. Repeat NCCT head was done on POD 1 which revealed diffuse hypodensities involving bilateral thalami and capsular ganglionic regions with focal area of hemorrhage in the left thalamus. The patient regained consciousness five days after the surgery. He was extubated two days later. Post extubation, GCS of patient was E4V2M6. Repeat MRI (Figure 2e and Figure 2f) done on POD 9 showed reduction in oedema in bilateral gangliothalamic regions. Due to a poor cough reflex, he was tracheostomized and discharged. He was decannulated two months later and had a Glasgow Outcome Score of 5 at that time.

Figure 2: T2W MRI image (a) showing large left frontoparietal subdural hematoma. Postoperative FLAIR MRI image (b) show signal change and swelling in bilateral basal ganglia and thalamus, however only small focusses of diffusion restriction are seen (d), suggesting reversible swelling. Sagittal T2W image (c) shows vein of Galen compressed by splenium with increased angulation at vein and straight sinus junction Follow up MRI (e&f) after 9 days shows reversal of thalamic and ganglionic swelling with visualized Vein of Galen.
MRI: Magnetic Resonance Imaging; T2W: T2 Weighted. View Figure 2

Discussion

PHBS is a rare, largely unfamiliar but potentially dangerous complication of uneventful brain and spine surgery [1-3]. The clinical manifestation may range from headache, cranial nerve palsy, unreactive mydriasis, new onset of seizures, changes in level of consciousness, brainstem dysfunction, vegetative state or death [1,2,4]. The pathophysiology is not completely understood but severe CSF hypovolemia leading to venous congestion is the initiating factor, so the condition is also called postoperative intracranial hypotension associated venous congestion (PIHV) [1-3]. As per the Monroe Kellie doctrine, a decrease in CSF is compensated by other intracranial contents. Compensation should occur through an increase in cerebral blood volume, especially venous blood, as veins are more expansile than arteries. Venous pooling occurs leading to congestion and secondary venous ischemia or infarction with concomitant cytotoxic and vasogenic edema [1-5]. Excessive loss of CSF during surgery or through lumbar drainage/subgaleal suction drainage over a short period, perioperative intravascular volume depletion, use of hyperosmotic therapy and positions with head elevation or surgical positioning of neck leading to increase in jugular venous pressure and decrease in intracranial venous drainage may exacerbate the condition [1,3,4]. In the presence of a cranial defect (as during cranioplasty surgery), atmospheric pressure may further increase the compression of neurovascular structures and downward displacement of the intracranial contents [4].

Characteristic radiology includes signal changes and swelling with or without diffusion restriction in deep gray matter structures, like thalami, basal ganglia, brain stem and cerebellum [1,2,4,5]. These changes are usually symmetrical on imaging without any signs of arterial or venous occlusion in vascular imaging [1,2]. Subtle signs like decreased (acute) angulation of Vein of Galen with straight sinus can also be noted on sagittal MRI images [5]. The clinical and radiographic findings often mimic that of hypoxic brain injury [1,3,4,5]. Early diagnosis and timely management can lead to favorable outcome. Once the diagnosis is established, factors that may exacerbate CSF loss should be promptly terminated. Early institution of Trendelenburg position (15-30 degree) and intravenous hydration may help in reversing the condition [4,5]. In severe cases, an emergent decompressive sub-occipital craniectomy may be lifesaving [4]. Maintaining hydration in preoperative and intraoperative period, careful surgical positioning (slight reverse Trendelenburg with neck in neutral position), intraoperative Valsalva maneuver to ensure water tight dural closure, and no placement of subgaleal/subfascial/lumbar drains or placing thumbprint suction may decrease the incidence of this complication [3]. An intrathecal saline infusion and epidural blood patch may be considered as other management options [1,3].

In our cases, other differential diagnosis mimicking clinical and radiological signs similar to PHBS were ruled out. There was no evidence of intra or postoperative hypoxia, hypotension or hypoglycemia. There was no evidence of postoperative intracranial hemorrhage, hydrocephalus or large vessel occlusion. In both cases, there was complete evacuation of SDH with MR imaging showing classical signs described for PHBS. In the first case, delay in diagnosis and severe PHBS (preexisting V P shunt and subgaleal drain being predisposing factors for excessive CSF loss leading to increased severity) led to fatal outcome. The second patient was on mannitol in the preoperative period which may have increased the chances of intracranial hypotension in perioperative period. However, timely diagnosis and early institution of corrective measures, led to evident improvement in this case.

Only one case of PHBS associated with SDH has been reported in past which may be largely due to nonrecognition of this reversible phenomenon. The above cases emphasize the importance of anticipating acute intracranial hypotension, which is the major factor responsible for PHBS, in all patients undergoing neurosurgery. Early identification and management of PHBS can prevent fatal outcome.

Informed Consent

Informed consent has been taken in both the cases.

References

  1. Sotoudeh H, Chapman PR, Sotoudeh E, Singhal A, Choudhary G, et al. (2020) Pseudohypoxic brain swelling: Report of 2 cases and introduction of the lentiform rim sign as potential MRI marker. World Neurosurg 133: 221-226.
  2. Parpaley Y, Urbach H, Kovacs A, Klehr M, Kristof RA (2011) Pseudohypoxic brain swelling (postoperative intracranial hypotension-associated venous congestion) after spinal surgery: Report of 2 cases. Neurosurgery 68: E277-E283.
  3. Dickinson J, Kroll D, Bentley J, Gustin AJ (2018) Pseudohypoxic brain swelling after elective lumbar spinal surgery: case report. Cureus 10: e2454.
  4. Hou K, Zhu X, Zhang Y, Gao X, Suo S, et al. (2018) Early post operative cerebrospinal fluid hypovolemia: Report of 7 cases. Exp Ther Med 15: 5119-5124.
  5. Hadizadeh DR, Kovács A, Tschampa H, Kristof R, Schramm J, et al. (2010) Postsurgical intracranial hypotension: Diagnostic and prognostic imaging findings. AJNR Am J Neuroradiol 31: 100-105.

Citation

Sarika J, Himanshu A, Kavita S (2023) Pseudo Hypoxic Brain Swelling - An Unanticipated Life-Threatening Complication in Neurosurgery - Report of Two Cases with Review of Literature. Int J Anesthetic Anesthesiol 10:164. doi.org/10.23937/2377-4630/1410164