CASE REPORT | VOLUME 4, ISSUE 7 | OPEN ACCESS DOI: 10.23937/2378-3656/1410178

Burkitt's Lymphoma Presenting as Endobronchial Lesion

Fatih Uzer1 , Levent Dertsiz2 and Aykut Cilli3

1Department of Respiratory Medicine, Kastamonu State Hospital, Kastamonu, Turkey

2Department of Thoracic Surgery, Akdeniz University, Antalya, Turkey

3Department of Respiratory Medicine, Akdeniz University, Antalya, Turkey

*Corresponding author: Fatih Uzer, Department of Respiratory Medicine, Kastamonu State Hospital, Kastamonu, Turkey, Tel: 00905544811422, E-mail: uzerfatih@gmail.com

Received: June 07, 2017 | Accepted: July 27, 2017 | Published: July 29, 2017

Citation: Uzer F, Dertsiz L, Cilli A (2017) Burkitt’s Lymphoma Presenting as Endobronchial Lesion. Clin Med Rev Case Rep 4:178. doi.org/10.23937/2378-3656/1410178

Copyright: © 2017 Uzer F, et al. This is an open-access article distributed under the terms of the Creative Commons Attribution License, which permits unrestricted use, distribution, and reproduction in any medium, provided the original author and source are credited.

Abstract


Primary endobronchial tumor is seen rarely in young adults. Benign neoplasms such as hamartoma, hemangioma, papilloma, leiomyoma are seen more often whereas maling conditions are infrequent. Lymphoma is quite rare in children. Non Hodgkin lymphoma mostly presents with cervical or supraclavicular painless lymphadenopathies. Rarely cardiac and pulmonary involvement may be seen. Patients can present with cough, dyspnea and chest pain. We report a burkitt lymphoma case presenting with cough and hemoptizia.

Keywords


Burkitt's lymphoma, Endobronchial tumors, Young patient

Introduction


Primary endobronchial tumor is seen rarely in young adults and may be overlooked in differential diagnosis. Occlusion of tracheobronchial tree can result in atelectasia or respiratory tract infection. In elderly adenocarcinoma is seen oftenly but carcinoid tumor is more often in children. Endobronchial lesion is 80% carcinoid tumor in children and lymphoma is quite rare [1]. Non Hodgkin lymphoma mostly presents with cervical or supraclavicular painless lymphadenopathies. In 40% of patient’s first presentation can be extranodal disease [2]. Systemic symptoms are seen less than 25% of patients. Rarely cardiac and pulmonary involvement may be seen [3]. Patients can present with cough, dyspnea and chest pain. We report a burkitt lymphoma case presenting with cough and hemoptizia.

Case


17-year-old female patient admitted to chest diseases outpatient clinic with complaints of cough and bloody sputum. In physical examination; respiratory sounds could not be heard in left lower zone. Vital signs were as; blood pressure 141/78 mmHg, heart rate 110/min, respiration rate 18/min, body fever 36.5 ℃, and other systemic examinations were normal.

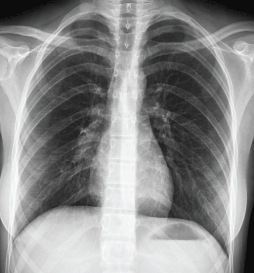
In her past medical history she had hypothyroidism and epilepsy. Laboratory tests revealed iron deficiency anemia whereas other biochemical tests were normal. In posteroanterior chest radiogram a fine bordered solid lesion with 7 cm diameter was observed in right paracardiac area having continuity with right hilar region (Figure 1). Thorax Computerized Tomography (CT) performed at another center revealed; several lymph nodes with diameter of 9-10 mm in bilateral axillary regions, 6 × 6 cm soft tissue density obliterating right lower lobe bronchus and indented to main bronchus in right hilar region, 3 × 2 cm soft tissue density with irregular borders in right lower lobe (Figure 2). In Positron Emission Tomography (PET) CT examination, 6 × 5.5 cm hypermetabolic (SUV max 23) lesion having lobular contours and invasion to mediastinum was detected in right hilar region (Figure 3).

Figure 1: Image from pre-diagnosis chest x-ray. View Figure 1

Figure 2: Image from CT scan. View Figure 2

Figure 3: Image from PET CT scan. View Figure 3

Bronchoscopy revealed hypervascular endobronchial lesion was observed right main bronchus (Figure 4). Bronchoscopic biopsy could not be performed due to bleeding risk. Patient was referred to thoracic surgery clinic for rigid bronchoscopy and histopathological sampling with general anesthesia. In histopathological examination; cells have tight cytoplasm, thin chromatin, a few nucleoli and high chorio mitotic index. In immunohistochemical staining; neoplastic cells were positive with CD20, CD10, LCA, Bcl6. Ki67 proliferation index was 98%. Case was found compatible with Burkitt’s lymphoma. Patient was referred to hematology clinic for lymphoma treatment. CODOX-M regimen was initiated by hematology. After 3 months chest radiogram revealed significant improvement (Figure 5).

Figure 4: Bronchoscopic view of lesion. View Figure 4

Figure 5: Image from post-treatment chest x-ray. View Figure 5

Discussion


Endobronchial tumor is rarely seen in young adults. Benign neoplasms such as hamartoma, hemangioma, papilloma, leiomyoma are seen more often whereas maling conditions are infrequent. Most seen malign tumor is adenocarcinoma in adults and carcinoid tumor in young population [1]. Burkitt's lymphoma is a relatively common Non-Hodgkin Lymphoma subtype in children under the age of 18. Endobronchial tumor may lead bronchial obstruction also atelectasia due to obstruction or pneumonia can be seen in these patients. Lymphoma cells may infiltrate alveolar spaces or wall, bronchial spaces, vascular structures and pleura. Diffuse lung involvement of lymphoma cells is responsible for the appearance in chest radiogram. So in patients with diffuse, linear, reticular and consolidative shadiness in chest radiogram; malign pulmonary lymphoma and lung involvement of systemic lymphoma must be thought in differential diagnosis.

Lesions observed in chest radiogram are most important radiologic sign in our patient. Chest radiogram of our patient revealed; fine bordered 7 cm in size paracardiac mass having continuity with right hilar region (Figure 1). Thoracic tomography should be performed in young patients with hemoptysis and if necessary bronchoscopy should not be avoided. These methods can provide more information about the characterization of the lesion in the lung. Primary pulmonary lymphoma is a presentation of less than 1% of lung cancers, and less than 1% of malignant lymphomas [5]. The most common primary lymphoma of the lung is low-grade Mucosa Associated Lymphoid Tissue (MALT) lymphoma arising from the bronchus and the second is diffuse large B-cell lymphoma.

Generally pulmonary lymphomas have non progressive pattern and good prognosis [4]. High grade lymphomas have bad prognosis that mostly originates from transmission of low grade lymphomas or seen in immunodeficient conditions.

Burkitt’s lymphoma has been reported firstly by Denis Parsons Burkitt in Africanian children. Burkitt’s lymphoma has aggressive behaviour, mostly extranodal involvement is seen and sometimes acute leukemia can occur. Burkitt’s lymphoma can be divided into morphological and biological different 3 types having clinically significant varieties. Endemic type is associated with Epstein Barr Virus and mostly seen in Africa [5,6]. Sporadic type is seen frequently in North America and Europe [7]. Whereas Burkitt’s lymphoma is high grade lymphoma; 70% patients have 4 year survival due to improvements in chemotherapy [8]. High grade non Hodgkin lymphoma is mostly seen in patients having underlying disease such as solid organ transplantation, HIV infection, Sjögren’s syndrome [9].

In the evaluation of 12 pulmonary involvement of MALT lymphoma in a study conducted by Zinzani, et al. [11]. It has been shown that 66.7% of the patients required surgical procedures including open thoracotomy or Video-Assisted Thoracic Surgery (VATS) to establish the definitive diagnosis. Bronchoscopy in 83% revealed the disease, but transbronchial lung biopsy was use¬ful only in 30% of the patients. This study mentions that only a few studies suggested a flow cytometry of BAL may be helpful in diagnosing pulmonary lymphoma [10,11].

Survival is worse in high grade NHL than low grade lymphomas. Sporadic and immunodeficiency-associated Burkitt’s lymphoma does not share endemic Burkitt’s lymphoma’s exquisite sensitivity to chemotherapy, so that historically the prognosis had been poor, particularly among adults. Short-duration, high-intensity chemotherapy, sometimes combined with central nervous system prophylaxis, yields excellent survival in children: patients with localized disease have a > 90% 5-year survival rate [12].

Burkitt’s lymphoma is now regarded as one of the greatest therapeutic successes in oncology; however, due to rapid growth kinetics and frequent presence of extranodal localizations, it requires a highly specific approach. The optimal initial therapy of Burkitt’s lymphoma has not been clearly defined given the paucity of randomized studies in this uncommon disease and the fact that different, modern Burkitt’s lymphoma regimens can all achieve excellent results in younger age groups. Standard chemotherapy such as CHOP (cyclophosphamide, doxorubicin, vincristine and prednisone) is inadequate for treating Burkitt’s lymphoma, and there is no role for radiation therapy, even for localized disease or paraspinal presentations, which respond very quickly to chemotherapy [13].

The institution of the CODOX-M/IVAC regimen (Magrath protocol)-two cycles of CODOX-M (cyclophosphamide, vincristine, doxorubicin, high-dose methotrexate, and intrathecal therapy) alternating with IVAC (ifosfamide, etoposide, high-dose cytarabine, and intrathecal therapy)- for high-risk disease, and for those with low risk disease (e.g., one extranodal site or completely resected abdominal disease with normal LDH), three cycles of CODOX-M, represented a major step forward in the treatment of Burkitt’s lymphoma [12].

In our case CODOX-M regimen was given. Tumor is generally located at right lower zones and hemorrhagic pleural effusion can be seen at time of presentation. Pleural effusion was not observed in present case. Cytopathological examination of pleural aspiration or lung biopsy mostly can be negative for malignancy [9]. In present case cytopathological examination of bronchoalveolar lavage samples were negative. Surgical sampling confirmed the diagnosis of high-grade burkitt lymphoma.

Kobayashi, et al. reported 9 endobronchial lymphoma cases and mean age was 12.8 (age range 4-18 years) [14,15]. Cough was the most common symptom like our study. In literature it is seen that most cases were treated like asthma. There is one case having mortality after chemotherapy. But most cases in literature had good response to chemotherapy similar with our case. In some reports, patients had benefit from radiotherapy [15].

Conclusion


Finally endobronchial Burkitt’s lymphoma is seen quite rarely. In young patients endobronchial lesion is infrequent but unexplained cough and hemoptizia must be evaluated with advanced diagnostic studies. In necessary patients; bronchoscopy and surgical sampling must not be avoided. In high grade non Hodgkin B-cell lymphomas chemotherapy can be sufficient treatment alone.

References


  1. Curtis JM, Lacey D, Smyth D, Carty H (1998) Endobronchial tumours in childhood. Eur J Radiol 29: 11-20.

  2. Zucca E, Cavalli F (2000) Extranodal lymphomas. Ann Oncol 11: 219-222.

  3. Chan O, Igwe M, Breburda CS, Amar S (2016) Burkitt lymphoma presenting as an intracardiac mass: case report and review of literature. Am J Case Rep 17: 553-558.

  4. Fiche M, Caprons F, Berger F, Galateau F, Cordier JF, et al. (1995) Primary pulmonary non-Hodgkin’s lymphomas. Histopathology 26: 529-537.

  5. Rasti N, Falk KI, Donati D, Gyan BA, Goka BQ, et al. (2005) Circulating epstein-barr virus in children living in malaria-endemic areas. Scand J Immunol 61: 461-465.

  6. Karakaş Z, Bülbül A, Anak S, Ünüvar A, Sarıbeyoğlu ET, et al. (2004) Çocukluk Çağı Burkitt Lenfomaları: 10 Yıllık izlem. Türk Onkoloji Dergisi 19: 1.

  7. Molyneux EM, Rochford R, Griffin B, Newton R, Jackson G, et al. (2012) Burkitt’s lymphoma. The Lancet 379: 1234-1244.

  8. Cairo MS, Sposto R, Perkins SL, Meadows AT, Hoover-Regan ML, et al. (2003) Burkitt’s and Burkitt-like lmyphoma in children and adolescents: a review of the children’s cancer group experience. Br J Haematol 120: 660-670.

  9. Ray P, Antoine M, Mary-Krause M, Lebrette MG, Wislez M, et al. (1998) AIDS-related primary pulmonary lymphoma. Am J Respir Crit Care Med 158: 1221-1229.

  10. Moini AL, Ara TF, Abadi MFM (2014) Primary Pulmonary Lymphoma and Cutaneous Metastasis: A Case Report. Iran J Radiol 11: e15574.

  11. Zinzani PL, Tani M, Gabriele A, Poletti V, Stefoni V, et al. (2003) Extranodal marginal zone B-cell lymphoma of MALT-type of the lung: single-center experience with 12 patients. Leuk Lymphoma 44: 821-824.

  12. Fery JA (2006) Burkitt’s Lymphoma: Clinicopathologic Features and Differential Diagnosis. Oncologist 11: 375-383.

  13. Dozzo M, Carobonlante F, Donisi PM, Scattolin A, Maino E, et al. (2017) Burkitt lymphoma in adolescents and young adults: management challenges. Adolesc Health Med Ther 8: 11-29.

  14. Yalçın K, Ayyıldız O (2009) Yüksek dereceli Non-Hodgkin lenfomalı hastada sistemik kemoterapi sonrası akciğer lezyonlarının ani düzelmesi. Dicle Tıp Derg 36: 301-305.

  15. Kobayashi T, Hyodo M, Honda N (2013) Primary endobronchial Burkitt’s lymphoma in a child: A case report. Int J Pediatric Otorhinolaryngol 77: 875-878.