IMAGE ARTICLE | VOLUME 4, ISSUE 4 | OPEN ACCESS DOI: 10.23937/2474-3682/1510102

Chronic Splenic Q Fever?

Gianfilippo Nifosì1* and Mariateresa Zuccarello2

1Department of Internal Medicine, Brugmann University Hospital Center, Brussels, Belgium

2Faculty of Medicine and Surgery, University of Catania, Italy

*Corresponding author: Gianfilippo Nifosì, MD, Specialist, Department of Internal Medicine, Brugmann University Hospital Center, 1020 Brussels, Belgium, Tel: +32-498-502-408.

Accepted: August 07, 2018 | Published: August 09, 2018

Citation: Nifosì G, Zuccarello M (2018) Chronic Splenic Q Fever?. Clin Med Img Lib 4:102. doi.org/10.23937/2474-3682/1510102

Copyright: © 2018 Nifosì G, et al. This is an open-access content distributed under the terms of the Creative Commons Attribution License, which permits unrestricted use, distribution, and reproduction in any medium, provided the original author and source are credited.

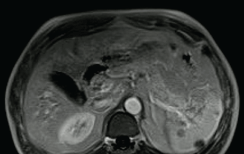
A 53-year-old man, with history of paranoid schizophrenia, depression, alcohol abuse, type 2 diabetes mellitus, comes to our observation for the discovery of focal splenic lesions. He presented fatigue and weight loss. Her past clinical history was negative for infection, abdominal pain, fever or sweat. Physical examination was characterized by cachexia in the absence of lymphadenomegaly and hepatosplenomegaly. Laboratory tests were negative, except for the C. burnetii antibodies (phase I IgG 1/128, phase II IgG 1/400 and negative IgM). Biological liver and kidney function were normal. Hepatitis B, hepatitis C, HIV, EBV, CMV serology were negatives. Positron emission tomography (PET) showed more hypermetabolic splenic lesions, distal small intestine hypercaptation associated with mesenteric lymph nodes and a right sub-clavicular lymph node (Figure 1). The splenic lesions had been confirmed by abdominal magnetic resonance imaging (MRI) (Figure 2). Colonoscopy showed inflammatory polipoyd lesions of the distal small intestine and uncomplicated diverticular colic disease. Gastroscopy, pulmonary scan, transesophageal echocardiography and bone marrow biopsy showed negatives. Doxycycline 200 mg b.i.d. and rifampicine 600 mg daily for three months treatment was initiated. In the absence of any improvement, after adequate vaccination for meningococcus, pneumococcus and haemophilus, splenectomy was carried out. The histopathological examination highlighted diffuse granulomatous process with multinucleated cells, mononuclear infiltrates, necrosis and fibrinous exudation. Coxiella burnetii DNA was negative in PCR.

The general incidence of Q fever is actually underestimated, owing to diagnostic difficulties, polymorphic clinical presentation and high prevalence of asymptomatic cases. In fact, 60% of the affected patients remains asymptomatic, while 40% develops an acute Q fever, which could be a self-limiting flu-like syndrome, hepatitis, pneumonia or meningo-encephalitis. In 5% of patients, months to years following the primary infection, the bacterium leads the development of a chronic Q fever, which raised insidiously and can lead to endocarditis (60%), aneurysm or vascular prostheses infections (20%) and some other manifestations less frequent, such as osteoarticular (7%), lymphadenitis (6%), genital infections (3%), pericarditis and hepatic disease [1,2].

In conclusion, we described an unusually case of chronic Q fever, original for presentation with splenic isolated involvement. In literature cases of splenic infarction [3] and mycotic splenic artery aneurysm [4] are described, but no abscesses as splenic focal lesions. In the presence of splenic focal lesions, the diagnosis of Q fever should be excluded. Differential diagnosis with a non-Hodgkin lymphoma should be considered [5]. A prolonged antibiotic treatment at 18 months is necessary.

Figures



Figure 1: Positron emission tomography with hypermetabolic splenic lesions.


Figure 2: a,b) Confirmed splenic lesions by abdominal magnetic resonance imaging.

References


  1. Barten DG, Delsing CE, Keijmel SP, Sprong T, Timmermans J, et al. (2013) Localizing chronic Q fever: A challenging query. BMC Infect Dis 13: 413.

  2. Million M, Raoult D (2017) No such thing as chronic Q fever. Emerging Infectious Diseases 23.

  3. Calvo Cebrián A, Prieto Zancudo C (2017) Spleen infarction diagnosed in the Health Centre ... And it turned out to be Q fever. Semergen 43: e11-e13.

  4. Antonopoulos C, Karagianni M, Galanakis N, Vagianos C (2010) Mycotic splenic artery aneurysm secondary to Coxiella burnetii endocarditis. Ann Vasc Surg 24: 416.

  5. Melenotte C, Million M, Audoly G, Gorse A, Dutronc H, et al. (2016) B-cell non-Hodgkin lymphoma linked to Coxiella burnetii. Blood 127: 113-121.