Citation

Kulshrestha A, Singh Y, Singh A, Aggarwal R (2024) Cerebral Fat Embolism Syndrome. Clin Med Img Lib 10:235. doi.org/10.23937/2474-3682/1510235

Clinical Image | OPEN ACCESS DOI: 10.23937/2474-3682/1510235

Cerebral Fat Embolism Syndrome

Aayush Kulshrestha1, Yudhyavir Singh1*, Abhishek Singh1 and Richa Aggarwal2

1Department of Anesthesiology, Critical Care and Pain Medicine, JPN Apex Trauma Centre, AIIMS, New Delhi, India

2Critical and Intensive care, JPN Apex Trauma Centre, AIIMS, New Delhi, India

Description

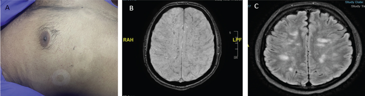
A 33-year-old man admitted to the emergency department after being involved in road traffic accident. On evaluation and radiological imaging, he sustained closed subtrochanteric fracture in the right femur and a bilateral pelvic. Following primary survey and initial resuscitation, the patient was haemodynamically stable, so the patients shifted to a ward for further management. After 24 hours, the patient exhibited changes in mental status, including drowsiness, confusion, and restlessness with presence of petechial rash (Figure 1A). Additionally, he experienced respiratory distress and hypoxia on arterial blood gas analysis. He was promptly shifted to the trauma intensive care unit (ICU) where tracheal intubation was performed. His urinalysis was normal. On Radiological imaging, including chest X-ray and CECT chest, did not reveal any abnormalities. But MRI brain showed multiple small lesions scattered throughout the deep white matter of the brain on FLAIR imaging (Figure 1B) and multiple small infarcts with a characteristic "starfield pattern" in susceptibility-weighted imaging (Figure 1C). Supportive treatment continued and after three days, the patient was successfully extubated. Five days later, he underwent uneventful surgery for proximal femur nailing and finally discharge. A diagnosis of cerebral fat embolism syndrome was made on the classic clinical triad of hypoxemia, neurological abnormalities, and a petechial rash along with classical MRI brain finding. Treatment primarily involves providing supportive care with surgical correction. In severe cases, symptoms may persist for several days, but most patients ultimately achieve complete recovery [1-5].

Figures


Figure 1: (A) Showing petechial rash in chest area; (B) MRI (T2 Swan sequence): Showing Diffuse microhemorrhages involving white and grey matter (Walnut kernel microbleed pattern); (C) MRI (T2 Flair sequence): Multiple Hyperintense Lesion (Starfield appearance).

References

  1. Kwiatt ME, Seamon MJ (2013) Fat embolism syndrome. Int J Crit Illn Inj Sci 3: 64-68.
  2. Sethi D, Kajal S, Saxena A (2015) Neuroimaging findings in a case of cerebral fat embolism syndrome with delayed recovery. Indian J Crit Care Med 19: 674-677.
  3. Satoh H, Kurisu K, Ohtani M, Arita K, Okabayashi S, et al. (1997) Cerebral fat embolism studied by magnetic resonance imaging, transcranial doppler sonography, and single photon emission computed tomography: Case report. J Trauma 43: 345-348.
  4. Domínguez-Morán JA, Martínez-San Millán J, Plaza JF, Fernández-Ruiz LC, Masjuan J, et al. (2001) Fat embolism syndrome: New MRI findings. J Neurol 248: 529-532.
  5. Bethany RDO, Reynolds HN, Bodanapally UK, Dreizin D (2015) Cerebral fat embolism syndrome: Diagnostic state of the art: with and without intra-medullary fixation, with and without long bone fractures. Int J Crit Care Emerg Med 1: 004.

Citation

Kulshrestha A, Singh Y, Singh A, Aggarwal R (2024) Cerebral Fat Embolism Syndrome. Clin Med Img Lib 10:235. doi.org/10.23937/2474-3682/1510235