IMAGE ARTICLE | VOLUME 1, ISSUE 2 | OPEN ACCESS DOI: 10.23937/2474-3682/1510015

Paediatric Lingual Thyroid: Cause of Chronic Cough

Gautam Bir Singh1 , Mayank Yadav2 and Shruti Ranjan1

1Department of Otorhinolaryngology, Lady Hardinge Medical College & Associated Hospitals, India

2Department of Otorhinolaryngology, Shaheed Hasan Khan Mewati Government Medical College, India

*Corresponding author: Gautam Bir Singh, House no: 1433/Sector: 15, Faridabad-121007 (National Capital Region), Haryana, India, Tel: +91-9818836242, E-mail: gbsnit@yahoo.co.in

Published: November 12, 2015

Citation: Singh GB, Yadav M, Ranjan S (2015) Paediatric Lingual Thyroid: Cause of Chronic Cough. Clin Med Img Lib 1:015. doi.org/10.23937/2474-3682/1510015

Copyright: © 2015 Singh GB, et al. This is an open-access content distributed under the terms of the Creative Commons Attribution License, which permits unrestricted use, distribution, and reproduction in any medium, provided the original author and source are credited.

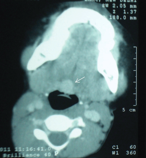
A 10 year old female child was referred to us from the paediatric department with the chief complaints of chronic cough and an occasional history of odynophagia for the past 6 months, especially following attack of upper respiratory tract infection. Important causes of chronic cough like infection [including TB], allergy, asthma and drug intake [e.g. ACE inhibitors] were ruled out and patient was being treated on the lines of reflux laryngopharyngitis with no improvement. An ENT opinion was sought for chronic sinusitis and tonsillitis. ENT evaluation revealed a small midline mass covered with normal mucosa at the base of tongue. CT scan done to delineate the said lesion showed a well defined intensely enhancing mass lesion in the base of tongue in the midline [Figure 1 and Figure 2]. On the basis of CT scan a differential diagnosis of midline branchial cyst, thyroglossal cyst, epidermoid and sebaceous cyst, lingual thyroid, lymphangioma and tumours [adenoma, fibroma & salivary gland tumour] were considered. However, evaluation of the CT scan showed the absence of normal thyroid tissue in the neck. A diagnosis of lingual thyroid was made and confirmed by Tc-99m pertechnetate radionuclide scan which showed uptake only at the base of tongue, a feature consistent with lingual thyroid [1]. Thyroid function tests were normal in the said case.

Lingual thyroid is a rare clinical entity with a prevalence rate of 1in 100000, with preponderance for females [1:7 ratio has been reported in medical literature] [1-3]. This embryological anomaly originates from failure of thyroid gland to descend from foramen caecum to its normal pre laryngeal site [1,3,4]. Interestingly, only 0.01% of these patients present with any overt symptoms [1,2]. If symptomatic: dyspnoea, dysphagia, dysphonia and stomatolalia are some common clinical features associated with it [2,3,5]. In females these symptoms manifest during stress as in pregnancy, puberty and menstruation. Some rare clinical presentations reported in literature are: hyperthyroidism, malignancy and haemoptysis [3,4]. Our case presented with chronic cough. In a massive internet search using Pubmed/Medline services we could only find one previous case report of an adult female, where lingual thyroid presented with the said symptom [6].

The management of symptomatic lingual thyroid is controversial. Usually, Levothyroxine is the treatment of first choice in all cases despite of normal TSH levels to alleviate the symptoms and decrease the size of ectopic gland. Patients not responding to this modality of treatment may be managed surgically or by radionuclide ablation [1-3]. However, it would be prudent to note that radionuclide ablation can have damaging effect on the gonads in children [4]. This case was treated with levothyroxine for 6 months and cough of the patient disappeared altogether. The patient is in regular follow-up with us and has been counselled for any future development of hypothyroidism and enlargement of ectopic gland which might cause difficult intubation during induction of anaesthesia or malignant transformation later on [1,2].

This clinical record thus highlights a rare clinical presentation of lingual thyroid: chronic cough in children, hitherto unreported. It also delineates the importance of managing symptomatic lingual thyroids with levothyroxine even in euthyroid patients.

 

Figure 1: A hypotense, homogenous intensely enhancing lesion is noted at the base of tongue in axial.

Figure 2: A hypotense, homogenous intensely enhancing lesion is noted at saggital cuts.

References


  1. Toso A, Colombani F, Averono G, Aluffi P, Pia F (2009) Lingual thyroid causing dysphagia and dyspnoea. Case reports and review of the literature. Acta Otorhinolaryngol Ital 29: 213-217.

  2. Rahabar R, Yoon MJ, Connolly LP, Robson CD, Vargas SO, et al. (2008) Lingual thyroid in children: A rare clinical entity. Laryngoscope 118: 1174-1179.

  3. Khamassi K, Jaafoura H, Masmoudi F, Lahiani R, Bougacha L, et al. (2015) Ectopic lingual thyroid. Case Rep Pediatr 2015: 252357.

  4. Prasad K, Anuradha KB (2015) Ectopic lingual thyroid presenting with nasal twang and hemoptysis. Malays J Med Sci 22: 73-75.

  5. Mussak EN, Kacker A (2007) Surgical and medical management of midline ectopic thyroid. Otolaryngol Head Neck Surg 136: 870-872.

  6. Nakamura S, Isaji M, Ishimori M, Ojio K (2002) Lingual thyroid. Internal Medicine 41: 905-906.